Professional teeth cleaning
Content
- Why do you need a professional teeth cleaning?
- Basic procedures for professional teeth cleaning, indications
- Stages and features of professional teeth cleaning at iStomatolog in Kyiv
- Why is only home oral hygiene not enough?
- Professional cleaning during braces treatment
- Additionally, after teeth cleaning at iStomatologa
- Advantages of professional teeth cleaning at iStomatolog in Kyiv
- Cost of professional teeth cleaning at iStomatolog in Kyiv
- FAQ, guarantee, reviews about iStomatolog dental clinic in Kyiv
Why is professional teeth cleaning necessary?
Professional oral hygiene is a complex of measures aimed at removing hard and soft dental plaque.
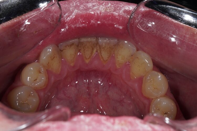
Professional teeth cleaning allows for the removal of dental calculus and dense plaque from the surface of the teeth and roots. Dental calculus is an irritating factor for the gum tissues that provokes acute and chronic inflammation of the gingival margin - gingivitis. One of the stages of teeth cleaning is polishing their surface as well as the surface of exposed roots. A smooth surface is less prone to the accumulation of dental calculus and plaque.
During a professional teeth cleaning at iStomatolog clinic in Kyiv, the treating dentist evaluates the condition of your teeth and gums and provides recommendations for at-home dental care. They can detect cavities, tooth chips, and restorations at an early stage, which allows for timely intervention before nerve inflammation occurs. If gum disease is present, the dentist performs monitoring of disease progression (measuring the depth of periodontal pockets, degree of tooth mobility, and bone loss in the jaws) and adjusts the treatment accordingly.
Thus, timely professional oral hygiene can extend the lifespan of restorations, orthopedic structures, and dental implants, as well as prevent and/or stabilize possible gum diseases.
Professional oral hygiene (cleaning) should be done regularly, on average every 6 months.
Main procedures of professional teeth cleaning:
Indications for professional teeth cleaning
Professional teeth cleaning is recommended in the following cases:
- Before implantation
- Prior to sanitation
- As part of routine prophylaxis for prevention of hard tissue, caries and non-caries diseases
- As part of treatment and prophylaxis of periodontal tissue diseases
- With the presence of dental calculus in supragingival and subgingival spaces
Professional teeth cleaning at iStomatolog clinic
Professional teeth cleaning includes four stages:
- Ultrasonic cleaning
- PROPHYflex cleaning with the use of calcined composition
- Polishing
- Finishing manipulations
Each stage is important for ensuring a high-quality procedure.
Stages of professional teeth cleaning at iStomatolog in Kyiv
1st stage - Ultrasonic cleaning
This involves removing supra and subgingival dental deposits (calculus) using ultrasonic technology. This procedure allows for a delicate cleaning of the teeth from calculus and stimulates blood circulation in the gums.
2nd stage - PROPHYflex (Air flow) cleaning
This involves removing dense pigmented plaque using a special PROPHYflex tip (or Air flow machine with a similar principle) that sprays a fine, calcium-containing powder called KaVo Prophypearls mixed with water onto the surface of the teeth under low pressure. This restores the natural color of the teeth, making them half or a full tone lighter, depending on the amount of plaque initially present.
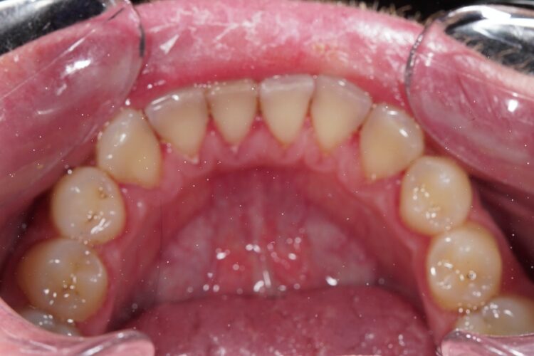
3rd stage - Teeth polishing
This involves polishing the surface of the teeth using special brushes and pastes of various abrasiveness. This creates a smooth surface on all tooth surfaces, leading to a longer-lasting effect after the procedure.
4th stage - Final procedures
This involves applying special gels to the gums and teeth to promote quick regeneration of the gums and reduce tooth sensitivity. Recommendations for oral home care are also provided.
Features of professional teeth cleaning
Ultrasonic teeth cleaning is performed using a device that generates waves with a frequency of 40,000 oscillations per second. To cool the enamel and quickly remove fragments of hard plaque, a fine-dispersed water mixture is fed through a special nozzle of the device. Ultrasound is used to break up subgingival calculus and restore blood circulation in the gum tissue.
Teeth cleaning according to the PROPHYflex technology is a continuation of the first stage of the procedure. A fine-dispersed composition based on calcium, water, and air (patented by Kavo) is delivered through the nozzle, which polishes the enamel and removes pigmented plaque in hard-to-reach areas.
Calcined round-shaped granules under air pressure contact the surface of the teeth, resulting in the elimination of roughness and the formation of a homogeneous smooth surface. As a result of using two different devices for removing calculus, dense pigmented and soft plaque, a lightening of the tooth enamel (by approximately one to two shades) is observed, although professional cleaning and teeth whitening are fundamentally different procedures.
The patient does not feel pain or discomfort during the hygiene procedure. The methods are absolutely safe for health and do not cause any trauma to the tissues of the oral cavity.
Polishing after professional teeth cleaning is necessary to create a smooth enamel surface that prevents the attachment of microorganisms and, accordingly, the formation of calculus and foci of caries.
The final stage is the application of protective agents to the teeth and gums, which eliminates the risk of inflammation, reduces tooth sensitivity, and accelerates the regeneration of gum tissue.
Request an appointment
Why is home oral hygiene not enough?
Many patients believe that they clean their teeth well at home. But in most cases, this is not true, even with regular use of a good electric toothbrush and dental floss.
If you have healthy teeth and gums, an electric toothbrush will help maintain good oral health, even without using dental floss or an irrigator. However, this does not negate the need for professional examination and monitoring of the condition of your teeth and gums. In the presence of bite pathologies, orthodontic and orthopedic constructions, implants, and gum diseases, there are hard-to-reach areas where plaque and tartar accumulate, which in turn causes chronic inflammation. Effective cleaning in such situations is only possible with specialized dental equipment.
We are committed to maintaining the health of your teeth and gums, and if necessary, addressing any existing problems.
Professional cleaning during orthodontic treatment
The frequency of dental visits for cleaning during orthodontic treatment depends on how well the patient follows the doctor's recommendations for maintaining oral hygiene and on the presence of harmful habits. Smokers are advised to undergo the procedure every 3-4 months (due to the accelerated formation of pigmented plaque caused by tobacco tar).
If a patient has a tendency toward gum inflammation, this is also a reason for more frequent cleaning than in standard situations. The orthodontist will inform the patient during their next appointment when it is time to visit the dentist for professional cleaning. The procedure takes from 40 minutes to 1.5 hours.
You can schedule a dental cleaning appointment directly on the iStomatolog clinic website in Kyiv or by phone at 067 502 8 999, 093 502 8 999.
Additional services after teeth cleaning at iStomatolog dental clinic
Examination, consultation, and recommendations regarding treatment and/or prevention.
Individual selection of home hygiene products taking into account the condition of teeth and gums.
Selection of an irrigator for the oral cavity in case of gum disease, implants, or prosthetics.
After the professional hygiene procedure, the patient receives a new manual toothbrush as a gift to replace the old one.
Advantages of teeth cleaning at iStomatolog dental clinic in Kyiv
- Fast and painless teeth cleaning.
- DIAGNOdent KaVo teeth diagnostics.
- Use of Prophyflex and Air flow devices.
- Allows teeth to be whitened by half or one shade.
The cost of professional teeth cleaning at iStomatolog dental clinic in Kyiv
The full cost of professional teeth cleaning can be determined during the examination and consultation at iStomatolog dental clinic in Kyiv. The dentist will determine the presence, nature, and degree of dental deposits. You will be informed about the stages of professional teeth cleaning, their duration, and cost. The dental hygienist will explain in detail how the teeth cleaning procedure is performed, on which equipment and by what methods.
In addition, a complex for individual home care of the teeth and oral cavity will be selected for you after the professional hygiene is performed at iStomatolog dental clinic.
For more information about the procedure for removing dental calculus and dental plaque, you can call the phone numbers of iStomatolog dental clinic 067 502 8 999, 093 502 8 999 or during a consultation at the clinic.
Full Price list of dental clinic services is available at the following link
FAQ
Article author:
Olena Daynetska, chief Doctor of iStomatolog Dental CenterDuring a consultation at iStomatolog dental clinic, you have the opportunity to receive digital and video diagnostics, a detailed treatment plan, as well as the overall cost of all stages of treatment.
Our Blog
Treatment of teeth without drilling.
The treatment of tooth decay without drilling is possible, but it makes sense in situations where there is no defect...
9 ways to maintain healthy teeth
Many patients are afraid of trips to doctors in principle. But, there are some specializations of doctors whose visit causes...
9 myths in dentistry
Myth 1: Milk teeth need not be treated In fact, milk teeth, as well as permanent teeth, play an important...
Dental treatment for pregnant women
When a woman finds out about pregnancy, she should not have a question “to go or not to go to...
Tooth decay in children
Most parents believe that caries can only be on the chewing surface of the tooth and when they look into...
Affecting the cost of dental treatment
It is difficult to find a person who would not go to the dentist with "acute" pain. A person who...
Reviews about iStomatolog
Всі лікарі уважні, професійні, з щирою турботою про пацієнта. Запам'яталось, як мені років п'ять тому довго і терпляче спасали майже безнадійний зуб, зіпсований в іншій клініці — спасли, стоїть свій зуб, а міг би вже бути імплант.
Дуже рекомендую.
Але тут працюють дуже відповідальні, приємні і турботливі професіонали! Дякую всій команді цієї стоматології, і окремо дякую моєму стоматологу Пекарському Віталію за прекрасну роботу. Тепер я і солодке їм без болі, і більше посміхаюсь ☺️
Я із задоволенням буду ходити тільки до вас 😊
Що мене очікувало в центрі iStomatolog.
1. Відсутність очікування біля кабінету.
2. Відсутність зайвого. Персонал і лікарі тебе не обтяжують. Їх стільки, скільки має бути.
3. Без сумніву професіоналізм. Тебе вислухать, і обов'язково запропонують варіанти лікування. Що безцінно, це те, що тобі в першу чергу будуть пропонувати максимально зберегти свої зуби.
4. Відсутність бажання затягнути процес лікування на рік (якщо у тебе проблема не одного чи двох зубів). Головне, щоб дозволяли працювати ясна (їх стан).
5. Матеріали з якими працюють лікарі. Це виключно японський виробник.
І нарешті результат, який я навіть вже і не очікувала.
Лена, дякую тобі ВЕЛИЧЕЗНЕ за твою роботу. Тобі і твоїй команді.


