Професійне чищення зубів
Навігація
- Для чого робити професійну чистку зубів?
- Основні процедури гігієни порожнини рота, показання
- Етапи та особливості професійної чистки зубів в iStomatolog
- Чому замало тільки домашньої гігієни порожнини рота?
- Професійне чищення в період носіння брекетів
- Додатково після чищення зубів в стоматології iStomatolog
- Переваги професійного чищення зубів в iStomatolog в Києві
- Яка вартість професійного чищення зубів в стоматології iStomatolog в Києві?
- FAQ, гарантія, відгуки про стоматологію Stomatolog в Києві
Для чого робити професійну чистку зубів?
Професійна гігієна ротової порожнини — це комплекс заходів, спрямованих на усунення твердого та м'якого зубного нальоту.
Навіщо потрібне професійне чищення зубів?
Професійна гігієна ротової порожнини дозволяє прибрати зубний камінь і щільний наліт з поверхні зубів і коренів. Зубний камінь – це дратівливий фактор для тканин ясен, який провокує гостре та хронічне запалення ясенного краю – гінгівіту. Одним з етапів чищення зубів є полірування їхньої поверхні, а також поверхні оголеного коріння. Гладка поверхня менш схильна до накопичення зубного каменю та нальоту.
Під час професійного чищення зубів у клініці iStomatolog лікар стоматолог оцінює стан ваших зубів та ясен; дає рекомендації щодо домашнього догляду за зубами.
Виявляє на ранньому етапі карієс, сколи зубів та реставрацій, що у свою чергу дозволяє своєчасно усунути ці проблеми не чекаючи ускладнень у вигляді запалення нерва зуба.
При захворюваннях ясен - проводиться контроль динаміки захворювання (визначається глибина пародонтальних кишень, ступінь рухливості зубів та втрати кісткової тканини щелеп) і коригується лікування.
Таким чином, своєчасна професійна гігієна ротової порожнини, дозволяє продовжити термін служби реставрацій, ортопедичних конструкцій, встановлених імплантів зубів, запобігти та/або стабілізувати можливі хвороби ясен.
Професійна гігієна (чистка) ротової порожнини повинна проводиться на регулярній основі, в середньому кожні 6 місяців.
Основні процедури гігієни порожнини рота
Показання для професійного чищення зубів
Професійне чищення зубів показано в таких випадках:
- під час підготовки до імплантації;
- перед санацією порожнини рота;
- у плановому порядку (для профілактики захворювань твердих тканин зубів, каріозних та некаріозних);
- в рамках лікування та профілактики захворювань тканин пародонту;
- за наявності зубного каменю в надясенному та підясенному просторі.
Професійне чищення зубів
Професійне чищення зубів у клініці iStomatolog включає чотири етапи:
- ультразвукове очищення;
- очищення за технологією PROPHYflex (з використанням кальцийвмісного порошку);
- полірування;
- фінішні маніпуляції.
Кожен етап є важливим для забезпечення якісного виконання процедури.
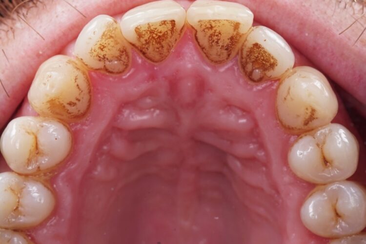
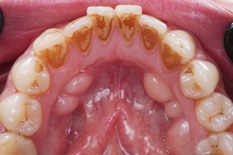
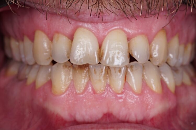
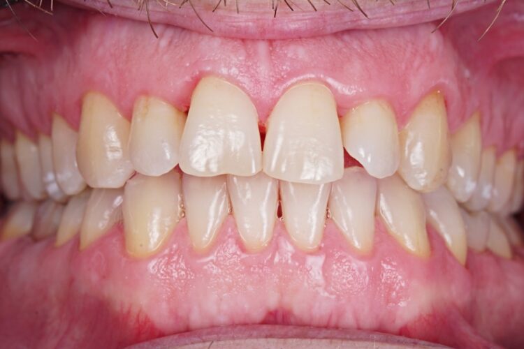
Клінічний кейс
Пацієнту було проведено комплексну гігієну зубів: видалення надясенного та підясенного зубного каменю, щільного пігментованого нальоту. Зубний камінь прибрали ультразвуковим апаратом KaVo Ultrasonic, що робить процедуру якісною та безболісною.
Щільний пігментований наліт видалено апаратом Kavo Propfyflex Air Polisher із застосуванням кристалів гідроксиапатиту округлої форми. На відміну від соди, цей метод дозволяє обережно очистити поверхню зубів не залишаючи мікроподряпин.
Наприкінці - фінішне полірування пастою з ремінералізуючим ефектом для зміцнення емалі зубів.
Етапи професійної чистки зубів
1-й етап — Ультразвукова чистка
Це зняття надясенних та підясенних зубних відкладень за допомогою ультразвуку. Дана процедура дозволяє дуже делікатно очистити зуби від каменю і стимулює кровообіг у яснах.
2-й етап — Чищення PROPHYflex або Air flow (Профіфлекс)
Це зняття пігментованого нальоту за допомогою спеціального інструменту PROPHYflex з якого під тиском подається кальційвмісний порошок з водою. Це дозволяє повернути зубам природний колір і робить їх на півтону або тон світліше, в залежності від початкового кількості нальоту.
3-й етап — Полірування зубів
Це полірування поверхні зубів за допомогою спеціальних щіточок та паст. Забезпечується гладкість поверхонь зубів, що сприяє більш тривалому ефекту від проведених вище процедур.
4-й етап — Фінішні маніпуляції
Це нанесення спеціальних гелів на ясна та зуби. Забезпечується швидка регенерація ясен і зняття підвищеної чутливості зубів. Стоматолог дає рекомендації по домашньому догляду за порожниною рота.
Особливості професійного чищення зубів
Ультразвукове чищення зубів здійснюється за допомогою апарату, що генерує хвилі з частотою коливань 40 тисяч за секунду. Для охолодження емалі та швидкого видалення фрагментів зубного каменю та твердого нальоту через спеціальну насадку апарату подається дрібнодисперсна водяна суміш. За допомогою ультразвуку розбиваються підясенні та надясенні зубні камені, відновлюється кровообіг у тканинах ясен.
Чищення зубів за технологією PROPHYflex є продовженням першого етапу процедури. Через наконечник подається дрібнодисперсний порошок на основі кальцію, води та повітря (запатентований компанією Kavo), який полірує емаль та видаляє пігментований наліт у важкодоступних місцях.
Кальциновані гранули округлої форми під тиском повітря стикаються з поверхнею зубів, що призводить до усунення шорсткості, утворення однорідної гладкої поверхні. В результаті застосування двох різних апаратів для видалення каміння, щільного пігментованого та м'якого нальоту спостерігається освітлення зубної емалі (приблизно на один-два тони), хоча професійне чищення та відбілювання – принципово різні процедури.
Пацієнт не відчуває болю чи дискомфорту під час проведення гігієнічної процедури. Методи абсолютно безпечні для здоров'я та не супроводжуються травмуванням тканин ротової порожнини.
Полірування після професійного чищення зубів необхідне для створення гладкої поверхні емалі, яка перешкоджає закріпленню мікроорганізмів, а, відповідно, утворенню каменю і вогнищ карієсу.
Останній етап – нанесення захисних гелів і паст на зуби та ясна, у результаті усувається ризик розвитку запалення, знижується чутливість зубів, прискорюється регенерація ясенних тканин.
Запиcатися на консультацію або лікування
Чому замало тільки домашньої гігієни порожнини рота?
Багато пацієнтів вважають, що добре чистять зуби вдома. Але, в більшості випадків, — це не так. Навіть при регулярному використанні гарної електричної зубної щітки і флоса.
Якщо у вас здорові зуби і ясна, електрична зубна щітка буде сприяти підтримці даного стану, навіть без використання зубної нитки. Але, це не скасовує необхідності в професійному огляді та контролі стану здоров’я зубів і ясен. При наявності патологій прикусу, ортодонтичних та ортопедичних конструкцій, захворювань ясен — є важкодоступні місця, які може оглянути та очистити тільки лікар-стоматолог.
Ми маємо на меті підтримку здоров’я вашої ротової порожнини, а при необхідності — усунення її проблем.
Регулярні візити для проведення професійної гігієни порожнини рота — це не тільки зняти наліт і видалити зубний камінь.
Професійне чищення в період носіння брекетів
Частота відвідувань стоматолога для професійного чищення зубів під час ортодонтичного лікування залежить від того, наскільки ретельно хворий дотримується рекомендацій лікаря щодо підтримки гігієни порожнини рота, та від наявності шкідливих звичок. Пацієнтам, що палять, показано проведення процедури кожні 3-4 місяці (це пов'язано з прискореним утворенням пігментованого нальоту під впливом тютюнових смол).
Якщо пацієнт має схильність ясен до запалень, це є також приводом для проведення процедури частіше, ніж у стандартних ситуаціях. Ортодонт на черговому прийомі повідомить, коли слід відвідати стоматолога для професійного чищення зубів. Час процедури – від 40 хвилин до 1,5 години.
Записатися на чищення зубів у стоматолога можна безпосередньо на сайті клініки iStomatolog у Києві або за контактним телефоном 067 502 8 999, 093 502 8 999.
Додатково після чищення зубів в стоматології iStomatolog
Огляд, консультація, рекомендації щодо лікуванння та/або профілактики.
Індивідуальний підбір засобів домашнього догляду з урахуванням стану зубів та ясен.
За наявності захворювань ясен, встановлених імплантів чи протезів - підбір іригатора для порожнини рота.
Після процедури професійної гігієни пацієнт отримує нову мануальну щітку для заміни старої.
Переваги професійного чищення зубів в iStomatolog в Києві
- Використання апарату Prophyflex і Air flow
- Дозволяє відбілити зуби на півтону, тон
- Якісна та безболісна чистка зубів
Яка вартість професійного чищення зубів в стоматології iStomatolog в Києві?
Повну вартість професійного чищення зубів можна дізнатися під час огляду та консультації у стоматології iStomatolog у Києві.
Лікар визначить наявність, характер та ступінь зубних відкладень. Ви будете ознайомлені з етапами проведення професійного чищення зубів, їх тривалістю та вартістю. Стоматолог - гігієніст докладно пояснить, як відбувається процедура чищення зубів, на якому обладнанні та якими методами.
Також вам буде підібрано комплекс для індивідуального догляду за зубами та порожниною рота в домашніх умовах після проведення професійної гігієни у стоматології iStomatolog.
Більш детальну інформацію про процедуру зняття зубного каменю та зубного нальоту ви можете дізнатись зателефонувавши за телефонами стоматології iStоmatolog 067 502 8 999, 093 502 8 999 або на консультації у клініці.
Ціни на професійне чищення зубів
Комплексна гігієна 1 ступінь*
2300 грн
Комплексна гігієна 2 ступінь*
2 400 грн
Комплексна гігієна 3 ступінь*
2 600 грн
Комплексна гігієна 4 ступінь*
2 800 грн
Професійна гігієна ротової порожнини за обидві щелепи; до 14-ти років
1 700 грн
(без залучення Air flow)
Професійне чищення одного зуба
250 грн
* До комплексної гігієни входить: ультразвукове зняття зубного каменю; чищення Airflow\ Prophyflex; полірування пастами різного ступеню абразивності; обробка ясен гелевими препаратами.
Відбілювання зубів
Ендоканальне відбілювання (за один зуб, 2 процедури)
1 000 грн
Фото/лазерне відбілювання (ZOOM 4, Beyond, Magic Smile) 1-4 зуба
1 000 грн
Фото/лазерне відбілювання (ZOOM 4, Beyond, Magic Smile) за обидві щелепи
7 000 грн
Відбілювання капами (за обиві щелепи)
4 000 грн
Ремінералізуюча терапія після відбілювання (за обидві щелепи)
1 500 грн
FAQ
часті запитання про професійне чищення зубів
Автор статті: Дишлова Ірина, лікар стоматолог
Спеціалізація: реставрація зубів, ендодонтичне лікування, дитяча стоматологіяНа консультації в стоматології iStomatolog ви маєте змогу отримати цифрову та відеодіагностику, детальний план лікування з фінансовою аргументацією всіх етапів.
Спеціалісти з лікування та реставрації зубів
Дишлова Ірина
Пекарський Віталій
Дайнецька Олена
Відгуки про стоматологію iStomatolog в Києві
Що мене очікувало в центрі iStomatolog.
1. Відсутність очікування біля кабінету.
2. Відсутність зайвого. Персонал і лікарі тебе не обтяжують. Їх стільки, скільки має бути.
3. Без сумніву професіоналізм. Тебе вислухать, і обов'язково запропонують варіанти лікування. Що безцінно, це те, що тобі в першу чергу будуть пропонувати максимально зберегти свої зуби.
4. Відсутність бажання затягнути процес лікування на рік (якщо у тебе проблема не одного чи двох зубів). Головне, щоб дозволяли працювати ясна (їх стан).
5. Матеріали з якими працюють лікарі. Це виключно японський виробник.
І нарешті результат, який я навіть вже і не очікувала.
Лена, дякую тобі ВЕЛИЧЕЗНЕ за твою роботу. Тобі і твоїй команді.
Але тут працюють дуже відповідальні, приємні і турботливі професіонали! Дякую всій команді цієї стоматології, і окремо дякую моєму стоматологу Пекарському Віталію за прекрасну роботу. Тепер я і солодке їм без болі, і більше посміхаюсь ☺️
Я із задоволенням буду ходити тільки до вас 😊
Блог
Озонотерапія – лікування карієсу без свердління зубів і без уколів
Лікування карієсу зубів без сведління - можливе, але доцільне лише в тому випадку, коли відсутні дефекти тканин зуба, тобто збережена...
9 способів привести зуби до ладу
Багато пацієнтів бояться походів по лікарях в принципі. Але, є деякі спеціалізації лікарів, візит до яких викликає тихий жах у...
9 міфів в стоматології
Міф 1 - Ходити до лікаря-стоматолога тільки при зубному болі Більшість захворювань, особливо на початкових етапах, протікають безсимптомно. Зокрема, в...
Стоматологія вагітних
Коли жінка дізнається про вагітність у неї не повинно виникати питання «йти чи не йти до стоматолога?». Звичайно ж до...
Карієс зубів у дітей
Більшість батьків вважає, що карієс може бути тільки на жувальній поверхні зуба і коли дивляться в порожнину рота малюка — не бачать проблем, думаючи що зуб візуально...
Що впливає на вартість лікування зубів
Складно знайти людину, яка б не зверталася до лікаря-стоматолога з «гострим» болем. Людину, якій не знайомий цей нестерпний біль, що заважає спати вночі, який змушує приймати...
Запишіться на консультацію або лікування
Попередження
Усі матеріали сайту: статті, фото- та відеоматеріали - мають виключно ознайомлювальний характер, не є медичним призначенням та не можуть бути використані для самодіагностики чи самолікування.
Консультація, обстеження та лікування можуть бути призначені та проведені тільки лікарем відповідної спеціалізації.
Компанія не несе відповідальності за будь-які негативні наслідки в результаті використання данної інформаціїї.
Інформація на сайті є власністю компанії ТОВ "Стоматологічна клініка "Айстоматолог" та захищена аторським правом.


