Імплантація зубів "під ключ" в Києві

Що означає імплантація зубів «під ключ»?
Імплантація зубів «під ключ» - комплексна послуга, що включає всі етапи імплантації та протезування, починаючи з первинної консультації та закінчуючи періодом реабілітації. Пацієнт отримує уявлення про терміни та вартість імплантів, зубних протезів і додаткових маніпуляціях в повному обсязі.
Всі дії лікарів, які беруть участь у лікуванні пацієнта (стоматолог-терапевт, хірург-імплантолог, ортопед) узгоджуються відповідно до протоколу лікування.
Переваги послуги "імплантація під ключ"
Пацієнт ще до початку лікування отримує об'єктивне уявлення про кінцеву вартість послуги (це допомагає оптимально спланувани фінансові витрати)
Усі стоматологічні маніпуляції ретельно сплановані та виважені (виключено додаткові витрати та маніпуляції)
Складання детального плану відвідувань клініки допомагає раціонально використовувати час
Під час обговорення плану протезування та імплантації, пацієнт має можливість обрати виробника імплантів, вид зубних коронок (із урахуванням їх переваг та недоліків)
Підготовка до "імплантації зубів під ключ"
Кожна імплантація зубів «під ключ» проводиться згідно індивідуального плану після ретельної діагностики. Перед проведенням імплантації, як мінімум, необхідне проведення професійної гігієни порожнини рота. Також, бажано усунути всі вогнища гострої та хронічної інфекції в кістковій тканині і яснах, зуби повинні бути вилікувані від карієсу - так звана санація порожнини рота перед хірургічним втручанням.
У деяких пацієнтів можуть бути відсутніми будь-якої патології, крім втрати одного зуба в ряду, а тому вартість стоматологічних послуг буде мінімальною. Але, на жаль, найчастіше спостерігається одночасна відсутність зубів поєднана з ураженням карієсом решти, їх нахилом, висуванням та підвищеною стертістю внаслідок перевантаження; запальними процесами ясен і кісткової тканини щелеп, атрофією кістки. Відповідно, на імплантацію зубів «під ключ» ціна буде значно вищою, якщо врахувати необхідність проведення попереднього лікування зубів та ясен.
Послуги, що входять в "імплантацію під ключ"
До вартості імплантації зубів (чи одного зуба) "під ключ" входять наступні маніпуляції:
1. Консультація та комплексна діагностика з дослідженням комп'ютерної томограми щелеп
2. Підбір оптимальної системи імплантів, визначення необхідності додаткових маніпуляцій (кісткова пластика, пластика м'яких тканин, синус ліфтинг); узгодження виду зубної коронки
3. Складання детального плану з урахуванням всіх маніпуляцій, їх вартості та термінів проведення роботи
4. Професійна гігієна ротової порожнини, зняття зубного каменю та нальоту
5. Власне встановлення імпланта, призначення медикаментозної схеми в післяопераційний період
6. Контроль реабілітаційного періоду
7. Встановлення формувача ясен
8. Встановлення абатмента та коронки на імплант
Деякі етапи можуть бути проведені одночасно, що також обговорюється до початку лікування.
Комплекс послуг розрізняється, в залежності від способу проведення імплантації «під ключ», який може бути двохетапним, одноетапним або одномоментним. Якщо застосовується протокол з негайним навантаженням, пацієнту встановлюється тимчасова ортопедична конструкція, яка включає тимчасовий абатмент і тимчасову коронку.
При формуванні ціни відіграє роль кількість і вид імплантів, що встановлюються - поодинокі протези або конструкції All-on-4, All-on-6; необхідність проведення супутніх хірургічних маніпуляцій; обраний тип зубного протеза або коронки.
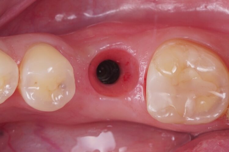
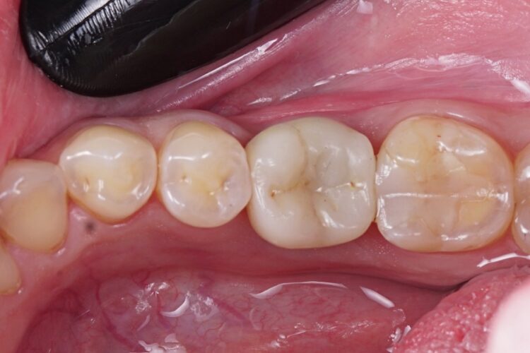
Клінічний кейс
Фото етапів "імплантації під ключ"
Вибір протоколу імплантації та протезування
Основний протокол імплантації «під ключ» - двоетапний - як і раніше, залишається найнадійнішим, вивченим і безпечним способом протезування. У той же час одномоментна установка протеза з негайним навантаженням має ряд своїх переваг. Вибір імплантаційної системи та методики базується, в першу чергу, на лікарських рекомендаціях, і в другу - на перевагах пацієнта.
Одноетапна методика протезування з використанням імплантів включає наступні етапи:
- передімплантаційна підготовка пацієнта (аналіз даних комп'ютерної томограми, вибір системи імпланта);
- анестезія та антисептична обробка поверхні слизової в місці встановлення імпланта;
- підготовка кісткового ложа для імпланта згідно протоколу обраної системи;
- встановлення імпланту;
- встановлення тимчасового абатмента та тимчасової коронки.
Двоетапна імплантація "під ключ", етапи.
Протезування за методикою двоетапної імплантації дає успішні результати у 99% випадків. Говорячи про успіх, ми маємо на увазі:
- мінімум ускладнень;
- комфорт відчуттів пацієнта (відсутність болю і дискомфорту між етапами імплантації та протезування);
- повний контроль над ходом приживлення всередині кістки;
- відмінний естетичний результат;
- довготривалий і передбачуваний результ.
На першому етапі імплантації "під ключ" при двоетапній методиці проводяться наступні маніпуляції:
- передімплантаційна підготовка пацієнта;
- анестезія та антисептична обробка поверхні слизової в місці встановлення імпланта;
- підготовка кісткового ложа для імпланта згідно з протоколом обраної системи;
- проведення, за необхідності, підсадки кісткової тканини, синус ліфтингу, пластики м'яких тканин;
- встановлення імпланту;
- вшивання слизової над встановленим имплантом (хірургічними нитками: що розсмоктуються або ні);
- післяопераційні обробка поверхні ясен і закриття швів спеціальним пластиром, що містить знеболюючі та антисептичні речовини;
- медикаментозний супровід у постімплантаційний період.
Далі, після процесу остеоінтеграції тривалістю від 1 до 6 місяців, в залежності від обраної системи імпланта, а також щелепи на якій встановлювали імплант (тривалість остеоінтеграції для верхньої щелепи, як правило, в два рази більше ніж для нижньої, що пов'язано з особливостями будови кісткової тканини), проведенням додаткових хірургічних маніпуляцій - встановлюється формувач ясен на 3-7 днів. На заключному етапі проводиться сканування та встановлення абатмента з коронкою на імплант.
Які імпланти кращі та яку коронку на імплант обрати при імплантаціі за системою "все включено"
Пацієнти, які звернулися в стоматологічну клініку для протезування, цікавляться насамперед естетичної стороною. Всі мріють про природну усмішці, яка додає чарівності і привабливості кожній людині. Стоматологи завжди шукають компроміс між красою, надійністю та безпекою.
Разом з інноваційними розробками стоматологічний центр iStomatolog в Києві використовує в своїй хірургічній практиці тільки перевірені, які пройшли всі клінічні випробування та допущені ВООЗ до застосування в Європі, а також Америці системи імплантів. Інформація про застосовувані імплантати в iStomatolog знаходиться у вільному для ознайомлення доступі в пошуковій системі, включаючи всі сертифікати відповідності.
З бюджетних імплантаційні систем варто виділити південнокорейську систему Dentis (Dentium), яка має кілька різновидів імплантів, у тому числі для встановлення в м'якій кістці та при нестачі висоти альвеолярного гребеня. Терміни приживлення імплантів складають в середньому 3 місяці для нижньої щелепи і 6 місяців для верхньої.
MegaGen або південнокорейський Straumann
MegaGen - це поєднання новітніх інженерних розробок з біотехнологіями останнього покоління. Компанія поставляє свою продукцію авторитетним клінікам по всьому світу. Величезна кількість клінічних випробувань показала високий відсоток приживлення імплантів навіть у складних клінічних ситуаціях.
Компанія використовує біоінертні матеріали з чистого титану. Головні особливості імплантів бренду MegaGen, що забезпечують високий ступінь приживлення і довготривалий результат:
- запатентоване кругле різьблення Knife Thread і покриття з титанату кальцію сприяє швидкому закріпленню імпланта всередині кістки і його надійному приживленню;
- безпрецедентна довговічність за рахунок форми абатмента і типу його кріплення до імпланта, що виключає розхитування і втрату стабільності імпланта;
- імпланти бренду MegaGen представлені кількома лінійками з широким діапазоном розмірів.
Переваги для пацієнта:
- можливість підбору імпланта для будь-якого типу кістки, а також при її нестачі;
- застосовується при методиках одноетапної, двоетапної і одномоментної імплантації;
- висока швидкість приживлення імпланта (від 1 місяця);
- довговічність і низький відсоток відторгнення імплантів;
- кілька лінійок імплантів різних цінових категорій.
І, мабуть найважливіше - імпланти Megagen застосовуються по всьому світу нарівні з імплантами Straumann, Nobel, Osstem, BioHorizons і іншими більш дорогими відомими системами.
Швейцарська надійність Straumann і Nobel
Відмінною особливістю імплантів Straumann є можливість застосування в нестандартних ситуаціях і висока надійність. Straumann запатентували особливий сплав титану і цирконію для виробництва імплантів - Roxolid. У ситуаціях при нестачі кістки або низької її щільності застосування більш короткого імпланта меншого діаметра зі сплаву Roxolid в більшості ситуацій дозволяє виключити підсадку кістки, тим самим зменшивши травматичність процедури і витрати пацієнта на кістковий матеріал. Спеціальне покриття SLActive на поверхні імпланту забезпечує швидке приживлення протягом 3-4 тижнів і високу стабільність в кістці при негайному протезуванні.
Преміум імпланти Nobel мають більш ніж 40-річний досвід виробництва та величезні напрацювання при тотальному протезуванні на імплантатах у ситуаціях повної відсутності зубів (All on 4, All on 6). Результат застосування даних імплантів на беззубих щелепах - прогнозований і довговічний.
Імпланти Вicon виробництва США відрізняються унікальним поєднанням імпланта та абатмента по типу «Конус Морзе», яке забезпечує високу стабільність і виключає розкручування внутрішнього гвинта та розхитування всієї конструкції імплант-абатмент-коронка.
Серед величезної кількості імплантаційні систем найбільш затребуваними залишаються Megagen і Straumann. Вони забезпечують рішення для будь-якої клінічної ситуації, можуть застосовуватися для різних методів імплантації, мають високу швидкість приживлення та прогнозований результат.
Ціни на імплантацію зубів
Встановлення імпланта Dentis OneQ ( Корея )
13 500 грн
Встановлення імпланта Dentis SQ ( Корея )
14 000 грн
Встановлення імпланта Strauman BLT SLA, Ti ( Швейцарія )
22 000 грн
Встановлення імпланта Strauman BLT Roxolid SLA, Ti - Zr ( Швейцарія )
23 000 грн
Встановлення імпланта Strauman BLT Roxolid SLActive, Ti - Zr ( Швейцарія )
24 000 грн
Встановлення імпланта MagaGen Any Ridge ( Корея )
17 000 грн
Встановлення імпланта MagaGen AnyOne ( Корея )
16 000 грн
Встановлення формувача ясен ( Megagen, Dentis, SGS )
1 700 грн
Встановлення формувача ясен ( Strauman )
2 700 грн
Встановлення хірургічного шаблону до 4-х імплантів на одну щелепу
12 000 грн
Встановлення хірургічного шаблону від 4-х імплантів на одну щелепу
16 000 грн
Встановлення індивідуального титанового абатмента (для імплантів вир-ва Південної Кореї)
5 000 грн
Встановлення індивідуального фрезерованого цирконієвого абатмента, без вартості Ti платформи
6 000 грн
Встановлення індивідуального титанового абатмента для імплантів Strauman
6 500 грн
Встановлення мультіюніт абатмента за 1 од. ( для імплантів вир-ва Південна Корея, Ізраїль )
7 000 грн
Вилучення імпланта "під ключ" ( без вартості анестезії )
5 500 грн
Спроба вилучення зламаного гвинта з імпланту під мікроскопом
2 000 грн
* До вартості імпланту включено: операція із встановлення імпланту, обраний імплант у повній комплектації, ушивання, післяопераційні огляди, зняття швів, медикаментозний супровід у післяімплантаційний період.
**Вартість кісткового матеріалу та мембрани не входять до стандартного переліку процедур, оскільки розраховуються індивідуально для конкретної операції.
Ознайомитись з повним переліком послуг та їх вартістю можна за посиланням Ціни
FAQ
поширені запитання щодо імплантації зубів
- установка імпланта;
- установка формувача;
- установка абатмента з коронкою.
Автор статті:
Дайнецька Олена, головний лікар Центра сімейної стоматології iStomatologНа консультації в стоматології iStomatolog ви маєте змогу отримати цифрову та відеодіагностику з детальним планом та повною вартістю всіх етапів лікування.
Спеціалісти з імплантації та хірургії
Пекарський Віталій
Дайнецька Олена
Відгуки про стоматологію iStomatolog в Києві
Але тут працюють дуже відповідальні, приємні і турботливі професіонали! Дякую всій команді цієї стоматології, і окремо дякую моєму стоматологу Пекарському Віталію за прекрасну роботу. Тепер я і солодке їм без болі, і більше посміхаюсь ☺️
Я із задоволенням буду ходити тільки до вас 😊
Всі лікарі уважні, професійні, з щирою турботою про пацієнта. Запам'яталось, як мені років п'ять тому довго і терпляче спасали майже безнадійний зуб, зіпсований в іншій клініці — спасли, стоїть свій зуб, а міг би вже бути імплант.
Дуже рекомендую.
Що мене очікувало в центрі iStomatolog.
1. Відсутність очікування біля кабінету.
2. Відсутність зайвого. Персонал і лікарі тебе не обтяжують. Їх стільки, скільки має бути.
3. Без сумніву професіоналізм. Тебе вислухать, і обов'язково запропонують варіанти лікування. Що безцінно, це те, що тобі в першу чергу будуть пропонувати максимально зберегти свої зуби.
4. Відсутність бажання затягнути процес лікування на рік (якщо у тебе проблема не одного чи двох зубів). Головне, щоб дозволяли працювати ясна (їх стан).
5. Матеріали з якими працюють лікарі. Це виключно японський виробник.
І нарешті результат, який я навіть вже і не очікувала.
Лена, дякую тобі ВЕЛИЧЕЗНЕ за твою роботу. Тобі і твоїй команді.
Блог
Відкритий синус ліфтинг із встановленням трьох імплантів
Клінічний кейс №15 Пацієнт звернувся до нас для відновлення втрачених зубів. Зуби було видалено більше 10 років тому. Жодних протезів...
Одномоментна імплантація " під ключ" двох зубів
Клінічний кейс №13 Пацієнт звернувся з метою відновлення двох верхніх зубів. Зуби в зруйнованому стані вже більше кільков років. За...
Імплантація переднього зуба
Клінічний кейс №12 Пацієнт звернувся до нас для встановлення коронки на передній зуб. Зуб було раніше ліковано. Біля року пацієнт...
Скільки імплантів можна встановити за раз
Клінічний кейс №9 Пацієнтка звернулася в клініку з метою встановлення коронок на зруйновані зуби верхньої щелепи. Після огляду та аналізу...
Імплантація кутнього зуба
Клінічний кейс №3 Скарги пацієнта: відсутність жувального зуба (4.6 зуб було видалено близько 5 років тому). Лікування: двоетапна імплантація та...
Як правильно підготуватися до імплантації зубів?
Втрата одного чи кількох зубів – надзвичайно поширене явище, причинами якого є травми, карієс, системні захворювання. Як наслідок - порушуються...
Небезпека імплантів
При виборі способу протезування людина завжди порівнює переваги та недоліки різних методів, що застосовуються в стоматологічній практиці. Якщо говорити про...
Імплантація при повній відсутності зубів
Повна адентія або повністю беззуба щелепа - безумовно складна ситуація, проте завдяки сучасним досягненням медицини та, зокрема стоматології, її можливо...
Запишіться на консультацію або лікування
Попередження
Усі матеріали сайту: статті, фото- та відеоматеріали - мають виключно ознайомлювальний характер, не є медичним призначенням та не можуть бути використані для самодіагностики чи самолікування.
Консультація, обстеження та лікування можуть бути призначені та проведені тільки лікарем відповідної спеціалізації.
Компанія не несе відповідальності за будь-які негативні наслідки в результаті використання данної інформаціїї.
Інформація на сайті є власністю компанії ТОВ "Стоматологічна клініка "Айстоматолог" та захищена аторським правом.