Відбілювання зубів
Навігація
- Показання та протипоказання для відбілювання зубів
- Етапи відбілювання зубів в Центрі iStomatolog
- Фото "до и після"
- Безпечне відбілювання зубів в iStomatolog
- Чому зуби темнішають?
- Способи відбілювання зубів та як зберегти результат?
- Переваги відбілювання зубів в стоматології iStomatolog
- Вартість відбілювання зубів
- FAQ,гарантія, відгуки про стоматологію iStomatolog


Дбайливе відбілювання зубів
Красиві білі зуби - чи не найважливіша складова чарівної посмішки.
Нажаль, в природі дуже рідко зустрічаються білі зуби. Окрім того, колір зубів може ставати темнішим через шкідливі звички, неякісну гігієну, прийом деяких медичних препаратів, травми зубів та інші захворювання. У таких випадках проводиться корекція кольору зубів шляхом їх відбілювання. Важливим аспектом у прагненні краси, насамперед, є збереження здоров'я зубів.
Відбілювання зубів в iStomatolog
- винятково індивідуальний підбір системи відбілювання зубів з урахуванням причин зміни кольору, початкового кольору зубів та бажаного результату
- контроль усіх етапів відбілювання зубів
- використання ремінералізуючої терапії після процедури відбілювання
- підбір засобів для домашньго догляду та підтримання довготривалого результату
Показання для відбілювання зубів
- змінений колір зубів, зумовлений впливом зовнішніх і внутрішніх факторів
- темний колір зубів від природи
Протипоказання для відбілювання зубів
- Вік молодше 16 років
- Алергія на компоненти відбілюючого гелю
- Вагітність
- Невилікуваний карієс
- Захворювання ясен в гострому періоді або в період загострення
- Наявність ортодонтичних апаратів або брекет-системи
- Проведені хірургічні операції в порожнині рота
- Онкологічні захворювання порожнини рота
Більшість з перерахованих протипоказань є відносними. Процедура відбілювання зубів не має системної дії на організм (відбілюючий гель не надходить в кровотік і не розноситься по всьому організму). Після лікування карієсу, зняття ортодонтичних конструкцій, та в інших випадках, можна вдаватися до процедури відбілювання зубів.
Який метод буде кращим допоможе вирішити тільки стоматолог з урахуванням всіх особливостей і нюансів.
Як відбілюють зуби в стоматології?
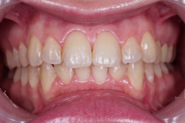
Фото зубів до проведення професійного відбілювання системою Beyond. Попередньо була проведена професійна гігієна зубів із видалення зубного каменю та зубного нальоту.
Етапи відбілювання зубів в iStomatolog
Погодження кінцевого результату та підбір системи відбілювання
Професійна гігієна
Процедура відбілювання зубів
Ремінералізуюча терапія за необхідності
Рекомендації стосовно домашнього догляду за зубами
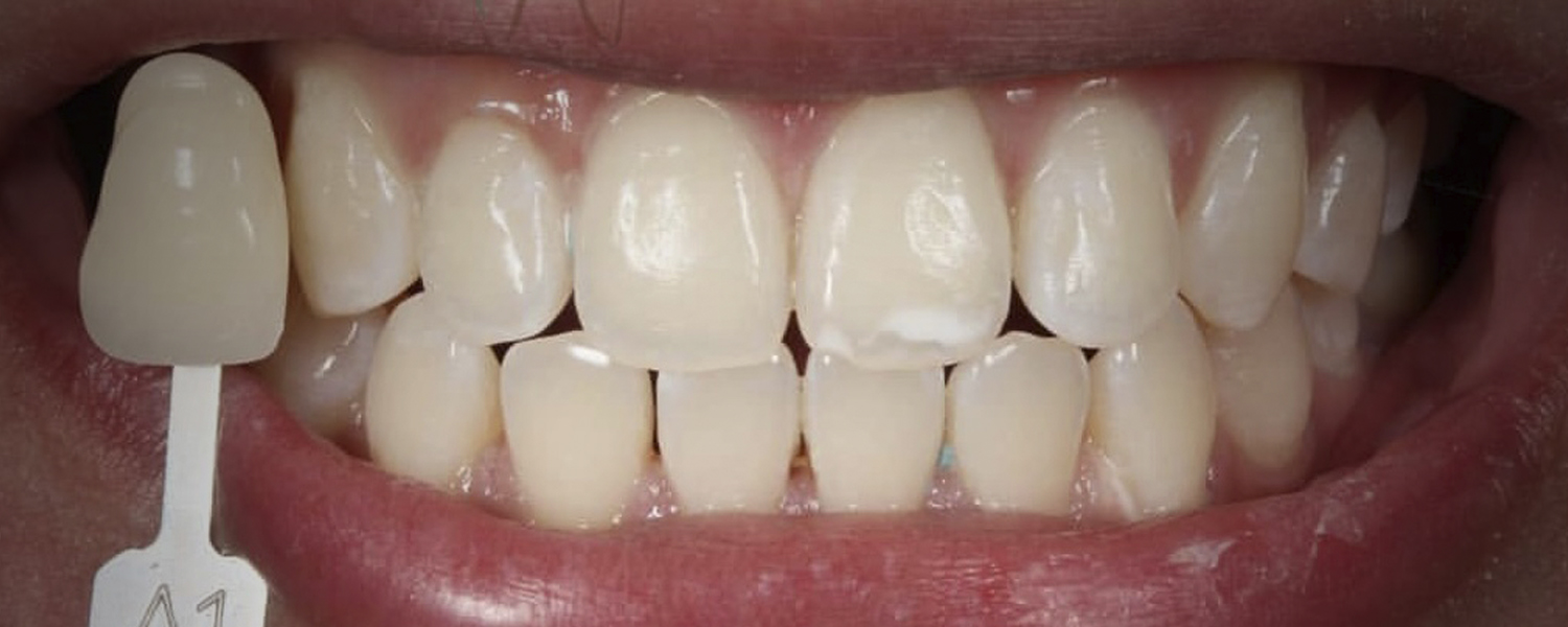
Фото "до і після" відбілювання зубів в iStomatolog





Запиcатися на консультацію або лікування
Безпечне відбілювання зубів в iStomatolog в Києві
Індивідуальний підбір системи відбілювання
Довготривалий стабільний результат
Підбір засобів домашньго догляду
Відновлююча терапія лазером та озоном
Чому зуби змінюють колір?
Зовнішня зміна кольору в межах емалі:
- тютюнопаління
- надмірне споживання чаю, кави, відварів трав
- використання деяких медичних препаратів (наприклад, довготривале застосування препаратів з хлоргекседином для полоскань)
Внутрішня зміна кольору, в межах емалі та підлеглого дентину:
- невилікуваний карієс
- запалення нерва в зубі або травма зуба
- прийом медичних препаратів (антибіотики тетрациклінового ряду)
- флюороз
- вроджені захворювання
- вікові зміни твердих тканин зубів
Найбільш розповсюджені причини потемніння або зміни кольору зубів
- попереднє лікування кореневих каналів пастами на основі резорцин-формаліну (сіро-рожеві зуби);
- наявність хронічного запалення нерва при відсутності лікування (сіро-коричневий колір зубів)
- зловживання кавою та чаєм
- шкідливі звички, зокрема тютюнопаління
Внутрішня зміна кольору зубів важко піддається відбілюванню. Процес довготривалий і не завжди є можливість повністю прибрати темний пігмент та повернути зубу його початковий колір.
Технології відбілювання зубів в iStomatolog
Препарати, що використовуються для відбілювання, мають в своєму складі перекис і карбаміди.
Ми часто чуємо — «лазерне відбілювання зубів», «відбілювання озоном» і подібні. У чому ж відмінність?
Необхідно розуміти, що є різні механізми активації відбілюючого гелю, це:
-відбілюючі системи зі світловим активатором
- ультрафіолет (Zoom1 / 2 / AP, Philips)
- синє світло (Luma Cool, LumaLite, США)
- лазерне відбілювання (Biolase, США)
-відбілюючі системи з хімічним механізмом активації
- найбільш популярний — Opalescence XtraBoost, Ultradent, США.
В цілому, принцип дії залежить від складу гелю і зводиться до розщеплення молекули перекису і вивільненню молекули кисню, внаслідок чого відбувається розчинення пігменту, який знаходиться в тканинах дентину і емалі. Даний процес і є хімічною суттю знебарвлення (відбілювання — термін, скоріше, комерційний).
При відбілюванні необхідно підвести відбілюючу речовину до найбільш пігментованої частини зуба. Саме з цієї причини і необхідно встановити характер зміни кольору — зовнішній або внутрішній. При зовнішньому — гель наноситься зверху на поверхню зуба, а при внутрішньому — в його порожнину.
Із зовнішнім фарбуванням зубів досить часто і ефективно можна впоратися за допомогою професійного чищення зубів. Але тільки за умови його регулярного проведення (не рідше ніж 1 раз в 6 місяців).
Даний метод дозволяє повернути зубам початковий колір, видалити зубний наліт і зубний камінь.
Якщо пацієнт хоче мати зуби світліші, ніж їхній природний колір, на два тони і більше, тоді проводять відбілювання зубів (наприклад, лазерне).
Методи відбілювання зубів
Лазерне відбілювання - найбільш ефективна, безболісна і безпечна методика. Для проведення сеансу використовується діодний або неодимовий лазер із довжиною хвилі 800-1000 нанометрів. Процедура складається з декількох етапів:
- чистка зубів;
- встановлення ретрактора (ізоляція слизової від контакту з відбілюючою речовиною);
- нанесення рідкого коффердама на ясна (захист тканин ясен);
- розподіл гелю по поверхні зубів у зоні посмішки (верхній і нижній зубний ряд);
- прицільний вплив лазерного променя на кожен зуб (час впливу на 1 одиницю - 30 секунд);
- видалення гелю;
- зміцнення емалі (проведення ремінералізуючої терапії).
Лазерне відбілювання зубів дозволяє освітлити емаль на 6-9 тонів за шкалою Віта. Ефект зберігається 1-4 роки за умови дотримання рекомендацій лікаря щодо гігієни порожнини рота і дієти. Лазер має щадний вплив на тверді тканини, не перегріває емаль і дентин, не провокує появу мікротріщин, має антибактеріальний ефект. Єдиним недоліком методики є висока вартість.
Фотовідбілювання
Відбілюючий ефект досягається за рахунок сукупного впливу спеціального гелю і світлового променя. У сучасній стоматології використовуються лампи з холодним (синім) світлом, що не створює ефекту нагрівання та порушення структури емалі. Лампові апарати розрізняються:
- особливостями конструкції;
- набором функцій;
- кількістю режимів подачі світла;
- рівнем захисту (структура світлофільтрів);
- типом лампи (галогенна, ксенон-галогенова, діодна).
Від виду застосовуваного стоматологічного обладнання залежить час процедури, естетичний результат і тривалість його збереження.
Підготовка до процедури та етапи - такі ж, як і при лазерному відбілюванні зубів. Залежно від типу лампи та застосовуваної методики, відбілюючий гель наноситься 2 або 3 рази.
Хімічне відбілювання
Хімічне відбілювання Opalescence Xtra Boost передбачає використання двох компонентів: відбілюючий компонент і каталізатор. У якості відбілювача виступає гель з 38% концентрацією перекису водню, додаткові компоненти - нітрат калію і фторид натрію.
Після підготовчих етапів (видалення нальоту, ізоляція щік ретрактором і ясен коффердамом) на зуби наноситься гель змішаний з каталізатором. Час впливу лікар підбирає індивідуально (мінімально 15 хвилин).
Методика Opalescence Endo розроблена для внутрішньоканального відбілювання. Застосовують методику щодо зубів, що потемніли в результаті запальних процесів в каналі зуба або пломбування кореневих каналів пастами, що викликали зміну кольору зуба. Етапи внутрішньоканального відбілювання:
- видалення пломби з устя кореневого каналу;
- герметичне закриття устя спеціальним цементом (для попередження дифузії гелю безпосередньо в кореневий канал);
- введення гелю в порожнину зуба на 24 години;
- тимчасова пломба;
- через добу гель видаляється; при досягненні необхідного результату проводиться естетичне відновлення зуба; при недостатньому відбілюванні (часто спостерігається при пломбуванні кореневого каналу пастами на основі резорцин-формаліну) - проводиться повторне введення гелю.
Метод Opalustre застосовують для усунень потемніння емалі, викликаних флюорозом або поверхневим карієсом. До складу входить низькоконцентрована соляна кислота і частки кремнію. Після обробки препаратом стоматолог акуратно видаляє верхній, потемнілий шар емалі та проводить ремінералізуючу терапію.
Відбілювання за допомогою кап може проводитися як в домашніх умовах (в якості підтримуючої процедури після відбілювання зубів) так і в клініці як самостійний метод. У каппах може застосовуватися карбамід перекису або перекис водню в різних концентраціях.
Як подовжити результат відбілювання зубів?
Професійна гігієна раз на 6 місяців
Обмеження вживання кави та чаю
Якісна домашня гігієна
Виключення шкідливих звичок, зокрема тютюнопаління
Своєчасне лікування карієсу
Обмеження прийому деяких лікарських засобів
Переваги відбілювання зубів в клініці iStomatolog
У клініці iStomatolog процедура відбілювання проводиться з використанням новітнього медичного обладнання. Стоматолог оцінить стан зубів і ротової порожнини, за необхідності, призначить додаткові процедури (заміна неякісних пломб, усунення вогнищ хронічної інфекції, лікування карієсу). Предметом обговорення з пацієнтом при виборі методики є:
- особливості різних технік відбілювання;
- догляд за зубами після процедури;
- тривалість отриманого результату;
- необхідна ступінь освітлення (3 і більше тонів за шкалою Віта);
- вартість.
Після узгодження кожного пункту лікар виконає відбілювання зубів. Нам важливо, щоб пацієнт розумів суть процедури, об'єктивно оцінював її результат, розумів причини через які виникають дефекти. Максимально детальну інформацію ви отримаєте на консультації стоматолога, записавшись в клініку iStomatolog в Києві через онлайн-форму або за телефонами: 067 502-8-999, 093 502-8-999.
Вартість відбілювання зубів
| Ендоканальне відбілювання (за один зуб) | 1000,00 |
| Відбілювання 1-4 зуба (лазер / фото) | 1000,00 |
| Лазерне / фото відбілювання (за обидві щелепи) | 6500,00 |
| Відбілювання капами (за обиві щелепи) | 4000,00 |
| Ремінералізуюча терапія після відбілювання (за обидві щелепи) | 1500,00 |
Автор статті:
Дайнецька Олена, головний лікар Центра сімейної стоматології iStomatologНа консультації в стоматології iStomatolog ви маєте змогу отримати цифрову та відеодіагностику з детальним планом та повною вартістю всіх етапів лікування.
Спеціалісти з лікування та реставрації зубів
Пекарський Віталій
Дайнецька Олена
Дишлова Ірина
Відгуки про стоматологію iStomatolog в Києві
Але тут працюють дуже відповідальні, приємні і турботливі професіонали! Дякую всій команді цієї стоматології, і окремо дякую моєму стоматологу Пекарському Віталію за прекрасну роботу. Тепер я і солодке їм без болі, і більше посміхаюсь ☺️
Я із задоволенням буду ходити тільки до вас 😊
Всі лікарі уважні, професійні, з щирою турботою про пацієнта. Запам'яталось, як мені років п'ять тому довго і терпляче спасали майже безнадійний зуб, зіпсований в іншій клініці — спасли, стоїть свій зуб, а міг би вже бути імплант.
Дуже рекомендую.
Що мене очікувало в центрі iStomatolog.
1. Відсутність очікування біля кабінету.
2. Відсутність зайвого. Персонал і лікарі тебе не обтяжують. Їх стільки, скільки має бути.
3. Без сумніву професіоналізм. Тебе вислухать, і обов'язково запропонують варіанти лікування. Що безцінно, це те, що тобі в першу чергу будуть пропонувати максимально зберегти свої зуби.
4. Відсутність бажання затягнути процес лікування на рік (якщо у тебе проблема не одного чи двох зубів). Головне, щоб дозволяли працювати ясна (їх стан).
5. Матеріали з якими працюють лікарі. Це виключно японський виробник.
І нарешті результат, який я навіть вже і не очікувала.
Лена, дякую тобі ВЕЛИЧЕЗНЕ за твою роботу. Тобі і твоїй команді.
Рекомендовані статті
Запишіться на консультацію або лікування
Попередження
Усі матеріали сайту: статті, фото- та відеоматеріали - мають виключно ознайомлювальний характер, не є медичним призначенням та не можуть бути використані для самодіагностики чи самолікування.
Консультація, обстеження та лікування можуть бути призначені та проведені тільки лікарем відповідної спеціалізації.
Компанія не несе відповідальності за будь-які негативні наслідки в результаті використання данної інформаціїї.
Інформація на сайті є власністю компанії ТОВ "Стоматологічна клініка "Айстоматолог" та захищена аторським правом.


