Пломбування зубів
Навігація
- Які бувають пломби для зубів?
- Яким має бути матеріал для пломбування зубів
- Етапи встановлення пломби на зуб
- Фото "до та після" пломбування зубів в iStomatolog в Києві
- Все про фотополімерні пломби
- Протипоказання до встановлення фотополімерної пломби
- Пломбування зубів цементними пломбами
- Переваги пломбування зубів в клініці iStomatolog в Києві
- Ціни на пломбування зубів
- FAQ, гарантія, відгуки про пломбування зубів в Stomatolog в Києві
Які бувають пломби для зубів?
Пломбування або реставрація зубів - це відновлення повноцінної анатомічної форми зуба, аби він міг виконувати свою функцію.
Пломби поділяють на:
- тимчасові
- постійні
Тимчасові пломби встановлюють у процесі лікування кореневих каналів, їх основне завдання - закрити порожнину зуба від потрапляння їжі та інфікування кореневих каналів.
Постійні пломби встановлюють з матеріалів, здатних відтворити анатомічну форму зуба та витримати жувальне навантаження.
Матеріали, що використовують для постійних пломб:
- різні види цементів (склоіномерні)
- фотополімерні матеріали
Яким має бути матеріал для пломбування зубів?
- фізико-хімічні характеристики відповідають тканинам зуба
- високі естетичні показники
- відсутність токсичної дії на тканини зуба
- мають властивості карієс протектора (вірогідність появи карієсу під пломбою мінімальна)
В Центрі iStomatolog ми використовуємо фотополімерні матеріали та склоіномерні цементи сертифіковані в Україні, а також у странах Європи та Америки, що відповідають стандартам ВООЗ
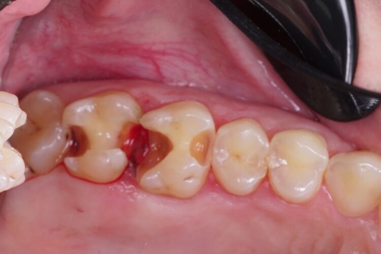
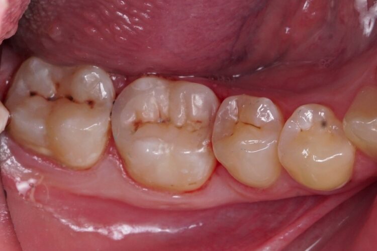
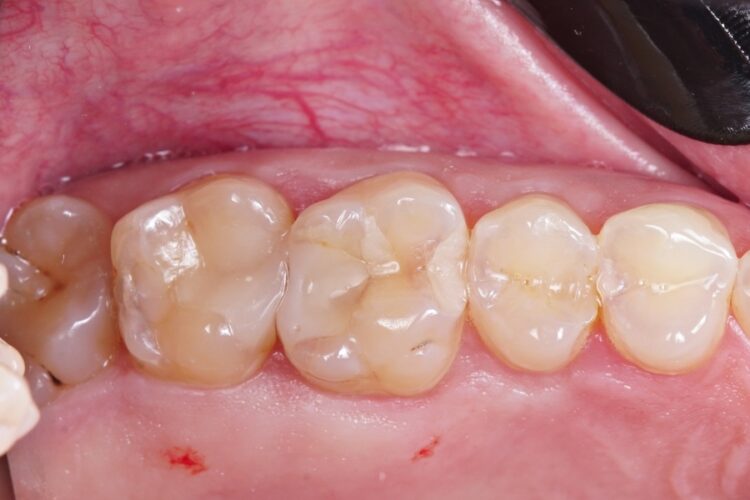
Пломбування жувальних зубів фотополімером
Пацієнт звернувся зі скаргою на постійне застрягання їжі між бічними зубами, та неприємний запах при чищенні зубною ниткою між ними. Було діагностовано неякісне прилягання старих пломб та вторинний карієс, що розвинувся під ними. Ми провели очищення зубів від старого матеріалу та каріозного ураження. Пломбування зубів проведено матеріалом ASTERIA, Tokuyama (Японія) з формуванням якісного та щільного контакту між ними.
Етапи встановлення пломби на зуб
Знеболення
Очищення зуба від каріозних тканин
Накладання ізолюючої системи кофердам на зуб
Стерилізація поверхні зуба HealOzone або лазер
Реставрація (пломбування)
Шліфування та полірування пломби
Фото "до та після" пломбування зубів фотополімерними матеріалами в iStomatolog в Києві




Запиcатися на консультацію або лікування та отримати знижку 10%
Пломбування зубів фотополімерними пломбами
Фотополімерна пломба - багатокомпонентний пломбувальний склад, що змінює фізичний стан під впливом світлових променів з певною довжиною хвилі. Після затвердіння композиту пломба щільно з'єднується з тканинами зуба, набуваючи максимально високої міцності. Фотополімери - найпопулярніші матеріали в сучасній стоматології, що застосовуються при лікуванні карієсу та для реставрації зубів.
До складу композиту входить об'ємний органічний матрикс, неорганічні добавки, сполучна речовина (силан). Пломбувальні матеріали представлені безліччю видів, що розрізняються за складом і співвідношенням структурних компонентів:
- макронаповнені, що характеризуються найбільшою міцністю і твердістю, та використовуються при пломбуванні жувальних зубів - молярів. Згодом пломба може злегка змінити колір і втратити первинну гладкість, проте це ніяк не вплине на функціональність зуба;
- мікронаповнені, утворені дрібнодисперсними структурами, що не піддаються пігментації і зберігають стабільний відтінок і природний блиск, властивий зубній емалі. Цей матеріал використовують для пломбування передніх зубів, аби зберегти естетику посмішки;
- наногібридні, або нанокомпозити, що представляють собою багатокомпонентний матеріал, де одна з фракцій має розмір часток 40-60 нм (1 нанометр дорівнює 0,001 мікрона). Основа складу - органічна матриця, а в якості додаткових компонентів виступають неорганічні полімери, представлені різними смолами, світлопоглиначами, стабілізаторами та іншими інгредієнтами.
Нанокомпозити, що використвують для пломбування зубів, мають різний склад. У стоматології використовують матеріали на основі силікату титану, кварцу, деяких полімерів, діоксиду цирконію, кераміки. Нанокомпозити розрізняються також за формою випуску, кольором, ступенем прозорості і рядом інших параметрів.
Застосування наногібридних матеріалів при пломбуванні зубів дозволило стоматологам досягати високих естетичних результатів без втрати міцності, що раніше було неможливим. Лікар змушений був шукати компромісний варіант, вибираючи естетику або міцність. Матеріали з наночастинками відрізняються реставраційної надійністю, мінімальної усадкою при полімеризації (не більше 1,8%), досить високою пластичністю і широким спектром відтінків.
Вибір фотополімера для пломбування зубів залежить від місця розташування зуба, масштабу каріозної порожнини, наявності (відсутності) супутніх проблем.
Композитні матеріали застосовують:
- для лікування карієсу та інших видів руйнувань зуба;
- для відновлення зубних коронок (форма, колір);
- в рамках художньої реставрації зуба;
- при усуненні деяких дефектів емалі (некаріозних);
- при корекції форми, розміру або кольору зубів.
Головні переваги композитів, призначених для пломбування зубів: висока пластичність, стійкість до впливу барвників (пігментів), швидке затвердіння і гарна естетика. Ціна пломби залежить від виду матеріалу та обсягу порожнини, а також від складності завдання, що стоїть перед стоматологом.
Застосування рідких і "твердих" фотополімерів
Для пломбування зубів використовують "тверді" і рідкотекучі композитні матеріали. Рідкі композити наносяться на оброблювану ділянку за допомогою спеціальної канюлі зі шприца. Цю категорію пломбувального матеріалу застосовують в якості ізолюючої прокладки для згладжування поверхні стінок порожнини і компенсації усадки, іноді можливе застосування при лікуванні пришийкового карієсу, для відновлення анатомічного контактного пункту між зубами (проте через малу наповненість твердими частинками - такі пломби можуть не витримувати жувального навантаження). Рідкі фотополімери забезпечують рівномірний розподіл матеріалу по поверхні і створюють щільний контакт з тканинами зуба.
Для реставрації зубів і відновлення анатомічної форми використовують "тверді" композити (з високою наповненістю твердими частинками), які мають високу міцність, пластичність і здатність утримувати задану форму, з низькою усадкою, високою стійкістю до стирання. Фотополімерний матеріал вноситься в порожнину зуба шарами, кожен із яких піддається дії фотополімерної лампи із заданою довжиною світлової хвилі.
Особливості встановлення фотополімерної пломби
Після видалення пошкоджених тканин і очищення ділянки зуба, перед встановленням пломби лікар підбирає колір композиту за спеціальною шкалою, щоб відтінок і прозорість відповідали натуральному зубу. Порожнина зуба обробляється бондінговою системою, що підвищує якість з'єднання тканин зуба з полімером.
Фотополімерний матеріал наноситься пошарово, при цому на кожному етапі застосовується фотополімеризаційна лампа, яка забезпечує полімеризацію матеріала. На останок виконується коригування форми зуба згідно анатомічних параметрів, поверхня шліфується і полірується пастами і гумками різного ступеня абразивності. У першу добу після лікування треба обмежити вживання продуктів з активними пігментами (соки, ягоди і т.д.).
Протипоказання до встановлення фотополімерної пломби
Протипоказань до пломбування зубів композитними матералами насправді, небагато: перелом зуба, серйозні дефекти зубної емалі, пошкодження зубної коронки більш, ніж на 50 відсотків, в деяких випадаках - неконтрольований бруксизм. Широкий вибір композитних матеріалів, що різняться за складом і властивостями дає можливість провести реставрацію зубів навіть в складних випадках, при великих за площею ушкодженнях коронки зуба. Стоматологи оцінюють доцільність виконання реставрації з використанням композитних матеріалів, а також вибирають пломбувальний матеріал, виходячи з даних діагностики.
Пломбування зуба склоіномерним цементом
При проведенні реставрації зубів і лікуванні глибокого карієсу або гострого каріозного процесу широко використовуються стеклоіономерні цементи. Ці матеріали можуть бути як хімічного так і світлового затвердіння (останні мають досить високі естетичні характеристики). Наповнювач пломбувального матеріалу - алюмосилікатне скло з додаванням фторидів, полімерна матриця утворена полікарбоновими кислотами.
Склоіномерні цементи мають здатність виділяти фтор, який захищає зуби від повторного розвитку карієсу протягом довгого часу, що дозволяє уникнути такого ускладнення як пульпіт зуба при дуже глибокому карієсі або його гострій формі.
Головні показання для пломбування зубів склоіномерними цементами:
- лікування гострого і глибокого каріеса зубів;
- в якості лікувальної прокладки;
- герметизація фісур;
- реставрація зубів при некаріозних руйнуваннях зуба;
- виготовлення куксових вкладок під коронку;
- фіксація штифтів.
Склоіномерні цементи утворюють міцне зчеплення з тканинами зуба і іншими матеріалами, що використовуються під час пломбування зубів, забезпечують високу міцність прилягання пломби до стінок, знижують ймовірність розвитку вторинного карієсу під пломбою і розвитку такого ускладнення як пульпіт зуба, мають мінімальну усадку після застигання і достатню пластичність та міцність для витримування жувального навантаження.
Вибір склоіномерного цементу для пломбування зубів
Склоіномерні цементи можуть бути в формі в порошку, який змішують з рідким компонентом або в спеціальних капсулах (які встановлюються в центрифугу для остаточного змішування). До складу матеріалу може входити спеціальний компонент, що забезпечує остаточну полімеризацію під впливом фотополімерної лампи.
Для відновлення естетики зубів використовуються цементи з підвищеним вмістом діоксиду кремнію, їх застосовують при усуненні невеликих дефектів, коли каріозна порожнина має маленькі розміри і глибину.
Зміцнені цементи містять металеві добавки, які знижують естетичні властивості пломби, але підвищують її стійкість до механічних впливів і вологи, а також прискорюють процес затвердіння. Зміцнені суміші використовують для відновлення пошкоджених молочних зубів, пломбування постійних жувальних зубів, а також при встановленні тимчасових пломб.
Нейтральний склад стеклоїономерних цементів і простота їх використання дає можливість застосовувати матеріали в дитячій стоматології, при лікуванні карієсу та некаріозних патологій. У числі недоліків матеріалів цього ряду варто відзначити недостатньо високу пластичність та міцність, а також естетичні властивості (в порівнянні з фотополімерами).
Переваги пломбування зубів в клініці iStomatolog в Києві
Пломбування зубів здійснюється після детальної діагностики, уточнення побажань пацієнта щодо співвідношення показників: «естетика - міцність - довговічність - практичність - вартість».
Фахівці клініки iStomatolog коректно виберуть пломбувальний склад і виконають роботу на високому професійному рівні. Це не просто слова, а реальна оцінка кваліфікації лікарів-стоматологів передового стоматологічного Центру в Києві.
Всі інновації європейської стоматології, найкраще обладнання і стоматологічні матеріали з успіхом застосовуються в практичній діяльності клініки. Записатися на консультацію можна за контактними телефонами, або через онлайн форму. При записі до лікаря на сайті клініки, пацієнт отримує знижку 10% від вартості послуг на перше відвідування та безкоштовну консультацію.
Ціни на реставрацію зубів
Залучення мікроскопу (одна одиниця) у реставрації зубів
1 000 грн
Встановлення ізолюючої прокладки фотополімер
200 грн
Встановлення лікувальної прокладки СІЦ (Японія)
600 грн
Встановлення герметика пломби (Японія/ Германія)
200 грн
Встановлення пломба СІЦ Fuji/ Riva light
1 500 грн
Реставрація бічної групи зубів
фотополімерними матеріалами (Tokuyama Dental, GC - Японія)
Проведення реставрації при пошкодженні зуба до 25%
2 000 грн
Проведення реставрації при пошкодженні зуба до 50%
2 200 грн
Проведення реставрації при пошкодженні зуба до 75%
2 400 грн
Проведення реставрації при пошкодженні зуба до 100%
2 750 грн
Реставрація передньої групи зубів
фотополімерними матеріалами (Tokuyama Dental, GC - Японія)
Проведення реставрації при пошкодженні зуба до 25%
2 200 грн
Проведення реставрації при пошкодженні зуба до 50%
2 400 грн
Проведення реставрації при пошкодженні зуба до 75%
2 750 грн
Проведення реставрації при пошкодженні зуба до 100%
3 300 грн
Естетична реставрація
матеріалами преміум-класу естетики Tokuyama Dental через цифровий прогноз та виготовлення шаблону
Рестарація однієї одиниці
5 000 грн
До вартості не входить: цифровий прогноз реставрації та 3D друк шаблону
FAQ
поширені запитання щодо пломбування зубів
Автор статті:
Дайнецька Олена, головний лікар Центра сімейної стоматології iStomatologНа консультації в стоматології iStomatolog ви маєте змогу отримати цифрову та відеодіагностику з детальним планом та повною вартістю всіх етапів лікування.
Спеціалісти з лікування та реставрації зубів
Дайнецька Олена
Пекарський Віталій
Дишлова Ірина
Відгуки про стоматологію iStomatolog в Києві
Всі лікарі уважні, професійні, з щирою турботою про пацієнта. Запам'яталось, як мені років п'ять тому довго і терпляче спасали майже безнадійний зуб, зіпсований в іншій клініці — спасли, стоїть свій зуб, а міг би вже бути імплант.
Дуже рекомендую.
Але тут працюють дуже відповідальні, приємні і турботливі професіонали! Дякую всій команді цієї стоматології, і окремо дякую моєму стоматологу Пекарському Віталію за прекрасну роботу. Тепер я і солодке їм без болі, і більше посміхаюсь ☺️
Я із задоволенням буду ходити тільки до вас 😊
Що мене очікувало в центрі iStomatolog.
1. Відсутність очікування біля кабінету.
2. Відсутність зайвого. Персонал і лікарі тебе не обтяжують. Їх стільки, скільки має бути.
3. Без сумніву професіоналізм. Тебе вислухать, і обов'язково запропонують варіанти лікування. Що безцінно, це те, що тобі в першу чергу будуть пропонувати максимально зберегти свої зуби.
4. Відсутність бажання затягнути процес лікування на рік (якщо у тебе проблема не одного чи двох зубів). Головне, щоб дозволяли працювати ясна (їх стан).
5. Матеріали з якими працюють лікарі. Це виключно японський виробник.
І нарешті результат, який я навіть вже і не очікувала.
Лена, дякую тобі ВЕЛИЧЕЗНЕ за твою роботу. Тобі і твоїй команді.
Блог
Озонотерапія – лікування карієсу без свердління зубів і без уколів
Лікування карієсу зубів без сведління - можливе, але доцільне лише в тому випадку, коли відсутні дефекти тканин зуба, тобто збережена...
9 способів привести зуби до ладу
Багато пацієнтів бояться походів по лікарях в принципі. Але, є деякі спеціалізації лікарів, візит до яких викликає тихий жах у...
9 міфів в стоматології
Міф 1 - Ходити до лікаря-стоматолога тільки при зубному болі Більшість захворювань, особливо на початкових етапах, протікають безсимптомно. Зокрема, в...
Стоматологія вагітних
Коли жінка дізнається про вагітність у неї не повинно виникати питання «йти чи не йти до стоматолога?». Звичайно ж до...
Карієс зубів у дітей
Більшість батьків вважає, що карієс може бути тільки на жувальній поверхні зуба і коли дивляться в порожнину рота малюка — не бачать проблем, думаючи що зуб візуально...
Що впливає на вартість лікування зубів
Складно знайти людину, яка б не зверталася до лікаря-стоматолога з «гострим» болем. Людину, якій не знайомий цей нестерпний біль, що заважає спати вночі, який змушує приймати...
Чому болить зуб і які причини виникнення болю?
Багато з нас відчували той чи інший зубний біль: гострий, пронизливий всю щелепу, вухо, око, або ниючий монотонний то підсилюється,...
Запишіться на консультацію або лікування
Попередження
Усі матеріали сайту: статті, фото- та відеоматеріали - мають виключно ознайомлювальний характер, не є медичним призначенням та не можуть бути використані для самодіагностики чи самолікування.
Консультація, обстеження та лікування можуть бути призначені та проведені тільки лікарем відповідної спеціалізації.
Компанія не несе відповідальності за будь-які негативні наслідки в результаті використання данної інформаціїї.
Інформація на сайті є власністю компанії ТОВ "Стоматологічна клініка "Айстоматолог" та захищена аторським правом.