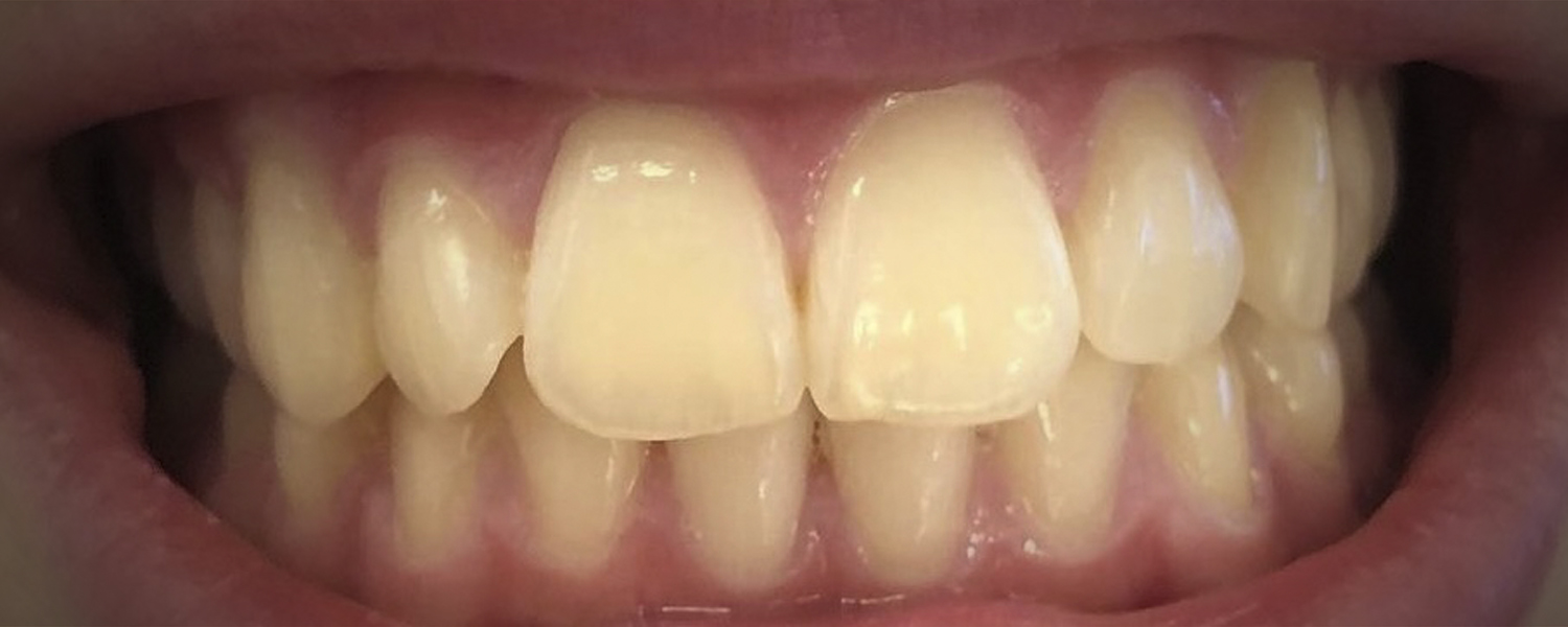
Приклади робіт відбілювання зубів
з використанням лазера LAZRAM, капп для відбілювання та озонотерапії HealOzone












Яка вартість лікування зубів в стоматології iStomatolog в Києві?
Вартість лікування зубів залежить від початкової ситуації, обраного методу лікування та бажаного результату. Так, наприклад, при лікуванні карієсу достатньо встановити пломбу на зуб; при пульпіті, крім відновлення зуба, потрібно ще й пролікувати кореневий канал зуба. Відсутні зуби можна відновити протезуванням мостоподібними або знімними протезами, а можна встановити імпланти.
Кожен клінічний випадок індивідуальний, але при цьому може мати як мінімум два варіанти лікування. Саме тому, ми завжди рекомендуємо прийти на очну консультацію до клініки. Наші фахівці проведуть огляд порожнини рота, проаналізують дані комп'ютерної томографії, за необхідності будуть проведені додаткові цифрові методи дослідження і лише після цього можуть бути запропоновані кілька варіантів лікування.
Лікарі стоматології iStomatolog у Києві при обговоренні остаточного плану лікування завжди акцентують увагу пацієнта на недоліках та перевагах обраного лікування зубів. Команда iStomatolog завжди допоможе підібрати альтернативний спосіб відновлення зубного ряду за неможливості проведення оптимального з точки зору стоматологічної науки лікування зубів. Ознайомитись з повним переліком та актуальними цінами на стоматологічні послуги ви можете за посиланням Прайс стоматологічних послуг
Автор статті:
Дайнецька Олена, головний лікар Центра сімейної стоматології iStomatologНа консультації в стоматології iStomatolog ви маєте змогу отримати цифрову та відеодіагностику з детальним планом та повною вартістю всіх етапів лікування.
Провідні спеціалісти клініки iStomatolog
Дайнецька Олена
Пекарський Віталій
Дишлова Ірина
Відгуки про стоматологію Stomatolog в Києві
Всі лікарі уважні, професійні, з щирою турботою про пацієнта. Запам'яталось, як мені років п'ять тому довго і терпляче спасали майже безнадійний зуб, зіпсований в іншій клініці — спасли, стоїть свій зуб, а міг би вже бути імплант.
Дуже рекомендую.
Але тут працюють дуже відповідальні, приємні і турботливі професіонали! Дякую всій команді цієї стоматології, і окремо дякую моєму стоматологу Пекарському Віталію за прекрасну роботу. Тепер я і солодке їм без болі, і більше посміхаюсь ☺️
Я із задоволенням буду ходити тільки до вас 😊
Що мене очікувало в центрі iStomatolog.
1. Відсутність очікування біля кабінету.
2. Відсутність зайвого. Персонал і лікарі тебе не обтяжують. Їх стільки, скільки має бути.
3. Без сумніву професіоналізм. Тебе вислухать, і обов'язково запропонують варіанти лікування. Що безцінно, це те, що тобі в першу чергу будуть пропонувати максимально зберегти свої зуби.
4. Відсутність бажання затягнути процес лікування на рік (якщо у тебе проблема не одного чи двох зубів). Головне, щоб дозволяли працювати ясна (їх стан).
5. Матеріали з якими працюють лікарі. Це виключно японський виробник.
І нарешті результат, який я навіть вже і не очікувала.
Лена, дякую тобі ВЕЛИЧЕЗНЕ за твою роботу. Тобі і твоїй команді.
Запишіться на консультацію або лікування
Попередження
Усі матеріали сайту: статті, фото- та відеоматеріали - мають виключно ознайомлювальний характер, не є медичним призначенням та не можуть бути використані для самодіагностики чи самолікування.
Консультація, обстеження та лікування можуть бути призначені та проведені тільки лікарем відповідної спеціалізації.
Компанія не несе відповідальності за будь-які негативні наслідки в результаті використання данної інформаціїї.
Інформація на сайті є власністю компанії ТОВ "Стоматологічна клініка "Айстоматолог" та захищена аторським правом.