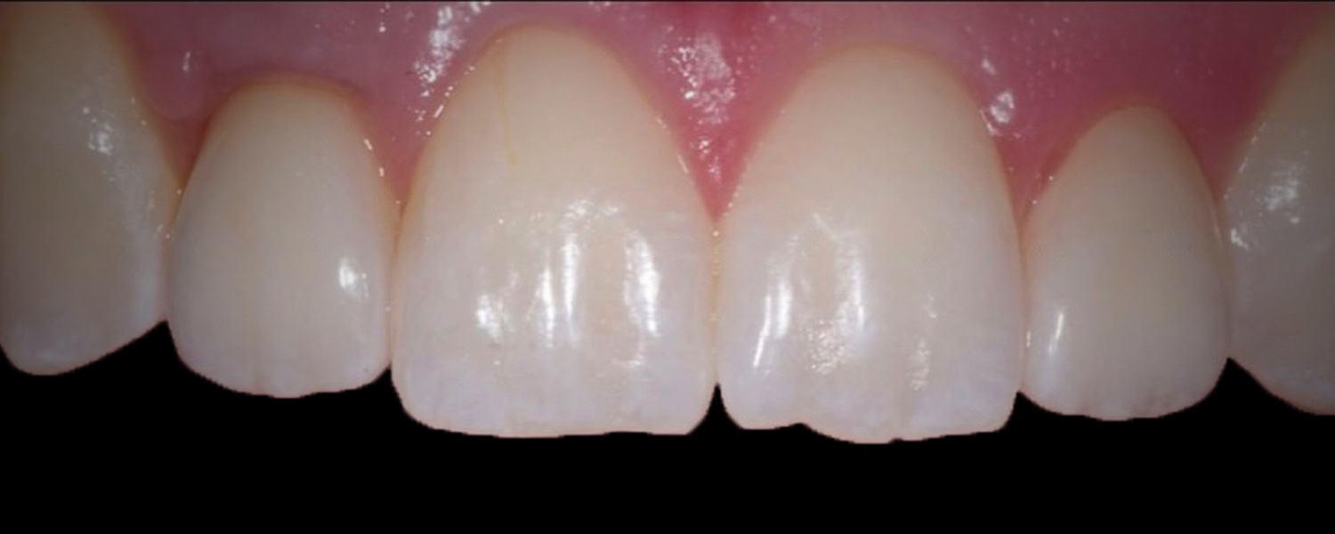
Клінічні кейси протезування зубів
керамічні коронки, цирконієві коронки, коронки E.max








































Більш детальну інформацію Ви можете дізнатися на консультації в Центрі iStomatolog. Після огляду лікарем, Вам будуть запропоновані найбільш доцільні варіанти схем лікування саме для вашого клінічного випадку.
Відгуки про Центр iStomatolog
Google Рейтинг
4.9
На основі 149 відгуків
Facebook Рейтинг
5.0
На основі 11 відгуків
Я доглядаю зуби в цій клініці майже 15 років, і це про щось та говорить. Свого молодшого сина також привела сюди ще з першими зубками.
Всі лікарі уважні, професійні, з щирою турботою про пацієнта. Запам'яталось, як мені років п'ять тому довго і терпляче спасали майже безнадійний зуб, зіпсований в іншій клініці — спасли, стоїть свій зуб, а міг би вже бути імплант.
Дуже рекомендую.
Всі лікарі уважні, професійні, з щирою турботою про пацієнта. Запам'яталось, як мені років п'ять тому довго і терпляче спасали майже безнадійний зуб, зіпсований в іншій клініці — спасли, стоїть свій зуб, а міг би вже бути імплант.
Дуже рекомендую.
Excellent! I was limited in time and came here in hope to fix broken front tooth crown. This is the only available place that made it in one day. Wonderful friendly staff and fabulous technology. Great!
Все мы знаем, как сложно выбрать хорошего врача, но могу с уверенностью сказать, приходите в клинику “IStomatolog”- здесь Вы найдете лучшего доктора Виталия . Очень хороший доктор-внимательный, доброжелательный, настоящий профессионал своего дела. Спасибо за Ваш труд, желаю Вам благополучия и успехов! А еще в кабинете чистота, комфорт, свежий воздух и приятная музыка. Рекомендую☝️
Стоматология супер! Обслуживаемся всей семьёй уже 13 лет. В основном у Ирины и Елены на м. Дарница. Качеством очень довольны! Персонал опытный и приятный) Однозначно рекомендую !!! Спасибо вам за ваш труд!
Досвід лікування моїх зубів і приведення у задовільний стан мою посмішку має чималу історію (для інформації, мені за 50). Це пломби у більшості зубів, брекет системи і навіть спроби змінити форму зубів. Щось виходило, але не з першого разу, щось не виходило і намагання повернутись до цієї проблеми не сприймалися схвально. У додаток до всього цього сам процес лікування затягувався на довгі місяці.
Що мене очікувало в центрі iStomatolog.
1. Відсутність очікування біля кабінету.
2. Відсутність зайвого. Персонал і лікарі тебе не обтяжують. Їх стільки, скільки має бути.
3. Без сумніву професіоналізм. Тебе вислухать, і обов'язково запропонують варіанти лікування. Що безцінно, це те, що тобі в першу чергу будуть пропонувати максимально зберегти свої зуби.
4. Відсутність бажання затягнути процес лікування на рік (якщо у тебе проблема не одного чи двох зубів). Головне, щоб дозволяли працювати ясна (їх стан).
5. Матеріали з якими працюють лікарі. Це виключно японський виробник.
І нарешті результат, який я навіть вже і не очікувала.
Лена, дякую тобі ВЕЛИЧЕЗНЕ за твою роботу. Тобі і твоїй команді.
Що мене очікувало в центрі iStomatolog.
1. Відсутність очікування біля кабінету.
2. Відсутність зайвого. Персонал і лікарі тебе не обтяжують. Їх стільки, скільки має бути.
3. Без сумніву професіоналізм. Тебе вислухать, і обов'язково запропонують варіанти лікування. Що безцінно, це те, що тобі в першу чергу будуть пропонувати максимально зберегти свої зуби.
4. Відсутність бажання затягнути процес лікування на рік (якщо у тебе проблема не одного чи двох зубів). Головне, щоб дозволяли працювати ясна (їх стан).
5. Матеріали з якими працюють лікарі. Це виключно японський виробник.
І нарешті результат, який я навіть вже і не очікувала.
Лена, дякую тобі ВЕЛИЧЕЗНЕ за твою роботу. Тобі і твоїй команді.
I would like to express my deep gratitude to Elena Sergeevna Dainetskaya. We have been treating teeth with the whole family for more than 10 years and we thank God that we have fallen into these wonderful hands! A very professional and competent doctor, kind, sensitive and always worried about his patient. There would be more such doctors in our medicine!I wish you health, success and prosperity in your work.I RECOMMEND iStomatolog clinic and Dr. Elena Sergeevna to everyone.
С 2007 года iStomatolog наша семейная стоматология. Почему? Потому что кто лучше делает своё дело, если оно семейное и уже в третьем поколении. Я пришёл по рекомендации моего друга Антона на приём к Ларисе Викторовне. Она сказала мне сразу: «я не вырву не одного зуба если за него можно бороться» Пол года лечения и сейчас у меня только раз в 6 месяцев профилактика. Супруга, дочь, моя мама (83 года) все доверили свои зубки iStomatolog. Правда уже Елена Сергеевна (старшая дочь Ларисы Викторовны) руководит клиникой. Строгая, но наверно так и надо, а то мы всегда пытаемся отсрочить, откладываем на потом профилактику, а потом выкладываем огромные деньги что бы спасти уже гнилой зуб. В этой стоматологии принцип очень простой: делай качественно, относись к людям по человечески, предупреди заранее (ну ведь забываем и «забиваем» на это). Многие подумают заказная статейка. Нет, просто мне повезло, я нашёл тех кому не безразлично мое здоровье и посчитал своим долгом перед Вами, рекомендовать стоматологию iStomatolog.
Nice clinic. Very attentive doctors, very nice people. Competent in their job. All procedures, implantation, crown installation in 1 day, filling - everything is absolutely performed according to the protocols. The clinic is clean, tea and coffee will be offered. Protection against covid is carried out - everyone is wearing masks, shoe covers, the temperature is measured. Thank you very much to Maxim Valerievich, Elena Dainetskaya, Lidia Vladimirovna. We wish you prosperity!
Професіоналізм на вищому рівні, дуже гарно працюють а також затишно та комфортно,всім рекомендую
Якби мені раніше хтось сказав що я полюблю ходити до стоматолога, то я б не повірила)
Але тут працюють дуже відповідальні, приємні і турботливі професіонали! Дякую всій команді цієї стоматології, і окремо дякую моєму стоматологу Пекарському Віталію за прекрасну роботу. Тепер я і солодке їм без болі, і більше посміхаюсь ☺️
Я із задоволенням буду ходити тільки до вас 😊
Але тут працюють дуже відповідальні, приємні і турботливі професіонали! Дякую всій команді цієї стоматології, і окремо дякую моєму стоматологу Пекарському Віталію за прекрасну роботу. Тепер я і солодке їм без болі, і більше посміхаюсь ☺️
Я із задоволенням буду ходити тільки до вас 😊
‹
›