Приклади робіт виправлення прикусу
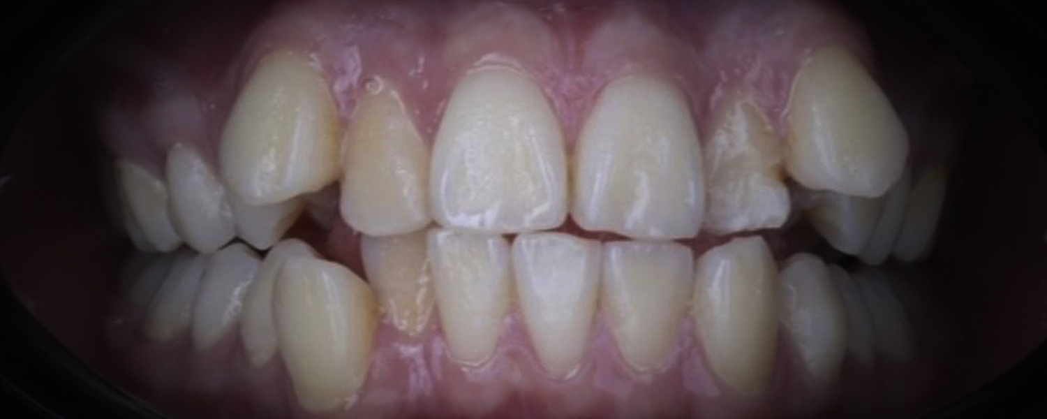
Виправлення прикусу металевою брекет-системою


Виправлення прикусу сапфіровою брекет-системою


Виправлення прикусу металевою брекет-системою


Виправлення прикусу сапфіровою брекет-системою


Made with by OrionThemes
м. Київ вул. Краківська 11 ТОВ «Стоматологічна клініка «Айстоматолог»