Двухэтапная имплантация
Навигация
- Что значит "двухэтапная имплантация" зубов?
- Показания и противопоказания для двухэтапной имплантации зубов
- Этапы проведения двухэтапной имплантации
- Преимущества двухэтапной имплантации в Центре iStomatolog
- Двухэтапная или одноэтапная имплантация, в чем разница?
- Рекомендации после двухэтапной имплантации зубов
- Цены імплантации зубов
- FAQ, гарантия, отзывы о стоматологии iStomatolog


Что значит "двухэтапная имплантация" зубов?
Двухэтапная имплантация подразумевает проведение двух последовательных процессов с временным промежутком от 1 мес до 6 мес:
1. Установка импланта.
2. Протезирование (установка коронки на имплант).
Показания к проведению двухэтапной имплантации зубов
Проведение имплантации одновременно с удалением зуба
Рентгенологические признаки остеопороза костной ткани челюсти
Необходимость проведения подсадки костной ткани (костной пластики)
Необходимость проведения операции синус лифтинга
Необходимость проведения пластики мягких тканей
Противопоказания к проведению двухэтапной имплантации зубов
Алкогольная или наркотическая зависимость
Общесоматические заболевания
Беременность
Онкологические заболевания
Психические расстройства
Этапы проведения двухэтапной имплантации
Установка импланта
Через 1-6 месяцев установка формирователя десны
Через 2-7 дней сканирование импланта для изготовления индивидуального циркониевого / титанового абатмента
Изготовление коронки на имплант или мостовидного протеза
Как происходит установка импланта и коронки при двухэтапной имплантации
- Обезболивание - чаще всего местное. При патологической боязни пациента или обширном хирургическом вмешательстве при установке большого количества имплантов и одновременного проведения сопутствующих операций может применятся общее обезболивание и седация.
- Обработка полости рта раствором антисептика (полоскание) и места установки импланта раствором Бетадина.
- Разрез слизистой на альвеолярном отростке.
- Создание ложа для импланта. Осуществляется с помощью аппарата физиодиспенсер и набора специальных сверл. Для каждой системы имплантов существует свой уникальный набор, который позволяет пошагово разработать костную ткань в соответствии с длиной и диаметром выбранного импланта.
- Непосредственно установка самого импланта в в сформированное ложе.
- Ушивание слизистой.
- Рекомендации относительно домашнего ухода.
Установка формирователя десны - время проведения около 10 минут
Проводится через 1-6 месяцев, срок зависит от системы импланта, челюсти на которой был установлен имплант (на верхней челюсти приживление происходит дольше нежели на нижней челюсти), были ли сопутствующие операции синус-лифтинга или подсадки костной ткани. Под анестезией снимают участок слизистой в проекции импланта и устанавливают формирователь десны, который имитирует шейку будущего зуба. Заживление десны после установки формирователя происходит в течении 1-3 дней.
Сканирование импланта - время проведения около 30 минут
Цифровое сканирование импланта для индивидуального изготовления абатмента (циркониевого или титанового) и коронки на зуб. Проводится на аппарате CEREC с использованием оригинальных комплектующих.
Фиксация готовой коронки на имплант - время проведения около 30 минут
Конструкция имплант - абатмент - коронка может состоять из двух частей: когда коронка склеена с абатментом и эта конструкция прикручивается к импланту (прикручиваемая коронка); или из трех частей: к импланту прикручивается абатмент, а на него отдельно фиксируется коронка (цементируемая конструкция). Винтовая фиксация чаще всего применяется для одиночных коронок на импланте, а цементируемая - при изготовлении мостовидных конструкций с опорой на импланты.
В целом, проведение двухэтапной имплантации имеет преимущества по сравнению с одноэтапной (когда в одно посещение устанавливают имплант вместе с коронкой). Остеоинтеграция (приживание) импланта сравнимо с процессом заживления перелома кости, когда происходит формирование сосудистой сетки и костных структур. Как и при переломе, в период заживления необходимо создать оптимальные условия для формирования сцепления между имплантом и тканью челюсти (так называемая остеоинтеграция импланта).
Через сколько можно ставить коронку на имплант?
Срок, через который можно ставить коронку на имплант зависит от:
- от системы импланта; есть системы имплантов ( Штрауман) допускающие нагрузку на имплант, а следовательно и установку коронки уже через 1 месяц, а есть системы требующие 6 месяцев;
- тип кости в который ставится имплант;
- производились ли сопутствующие хирургические операции ( удаление зуба, синус лифтинг, подсадка костной ткани);
- наличие сопутствующих заболеваний у пациента.
В среднем срок установки коронки при двухэтапной методике для нижней челюсти составляет 2-3 месяца, для верхней челюсти 4-6 месяцев.
Преимущества двухэтапной имплантации в Центре iStomatolog
- Только проверенные производители имплантов с оригинальными комплектующими
- Всегда предлагаем несколько систем на выбор различной ценовой категории с детальным описанием преимуществ и недостатков каждой
- Индивидуальное сопровождение в постимплантационном периоде
- Никаких силиконовых слепков - только цифровое сканирование для идеального соответствия импланта и коронки
- Только индивидуальное изготовление коронок и абатментов на импланты методом фрезерования из титана и циркона
- Гарантия на установку импланта от производителя
Клинический кейс
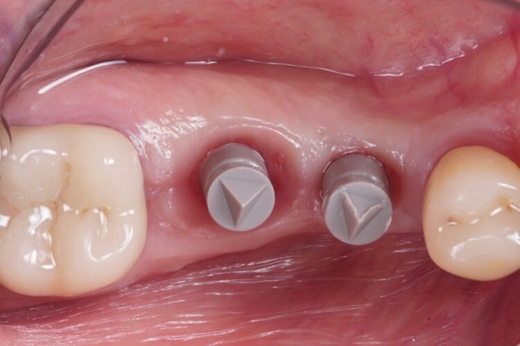
Операция установки двух имплантов на нижней челюсти за один раз. Протезирование зубными коронками проведено через 4 месяца.
Внутричелюстное сканирование имплантов системой Cerec для изготовления коронок на импланты. Серые колпачки из специального полимера показывают четкое расположение импланта и его наклон в челюсти. Это позволяет нам сделать идеальную коронку на имплант с правильным позиционированием и учесть все особенности зубочелюстной системы пациента.
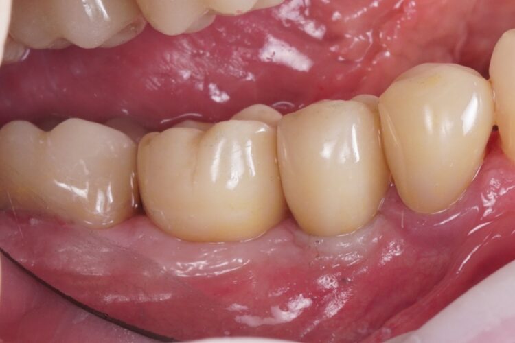
Так выглядят циркониевые коронки установленные на импланты.
Заключение: было установлено два импланта диаметром 4.0 и 5.0, длиной 10 мм оба. На этапе установки формирователей десны мы провели наращивание десны и формирование десневых сосочков.
Протезирование: установка двух отдельных коронок из диоксида циркония по методу винтовой фиксации.
От момента имплантации до установки коронок прошло 4 месяца.
Записаться на консультацию или лечение
Двухэтапная или одноэтапная имплантация, в чем разница?
Двухтапная имплантация - сначала устанавливают имплант и выдерживают срок для его полного приживления. И только после этого изготавливают коронку. При одноэтапной методике - одновременно с установкой импланта изготавливают коронку.
В целом можно говорить о том, что двухэтапная имплантация предпочтительней одноэтапной. Приживание импланта можно сравнить с заживлением перелома кости, когда происходит формирование сосудистой сетки и костных структур. Как и при переломе, в период приживления импланта необходимо обеспечить оптимальные условия для формирования сцепления между имплантом и костью челюсти.
Что такое одномоментная имплантация?
При одномоментной имплантации проводится удаление разрушенного зуба и установка импланта в один визит. Обязательным условием является отсутствие воспаления (кисты, гранулемы) в области корней разрушенного зуба и достаточный объем кости.
Рекомендации после двухэтапной имплантации зуба
- Прием лекарственных препаратов в соответствии с рекомендациями лечащего доктора.
- Исключить прием алкогольных напитков на срок от 7 до 14 дней.
- Ограничить или исключить курение.
- Воздержаться от посещения сауны, бани, солярия или бассейна.
- Ограничить тяжелые физические нагрузки в течении 7 дней.
- Ограничение в приеме жесткой и твердой пищи до момента снятия швов.
- Использование мягкой зубной щетки до момента снятия швов.
- Тщательная гигиена полости рта после каждого приема пищи до момента снятия швов.
Как ухаживать за имплантом?
До момента снятия швов необходимо чистить зубы мягкой зубной щеткой, пользоваться опаласкивателям для полости рта с антисептиком, а место наложения швов смазывать специальными гелями для ускорения процессов регенерации и защиты слизистой. В дальнейшем, после приживления импланта и установки коронки, специального ухода не требуется. Достаточно ежедневной чистки зубов, применения ирригатора. Профилактические осмотры у стоматолога рекомендуется проводить не реже чем один раз в шесть месяцев с проведением профессиональной гигиены полости рта.
Цены на имплантацию зубов
Установка импланта Dentis OneQ (Корея)
13 500 грн
Установка импланта Dentis SQ (Корея)
14 000 грн
Установка импланта Strauman BLT SLA, Ti (Швейцария)
21 000 грн
Установка импланта Strauman BLT Roxolid SLA, Ti - Zr (Швейцария)
22 000 грн
Установка импланта Strauman BLT Roxolid SLActive, Ti - Zr (Швейцария)
23 000 грн
Установка импланта MagaGen Any Ridge (Корея)
16 500 грн
Установка импланта MagaGen AnyOne (Корея)
15 500 грн
Установка формирователя десны (Megagen, Dentis, Оsstem)
1 700 грн
Установка формирователя десны (Strauman)
2 700 грн
Установка хирургического шаблона до 4-х имплантов на одну челюсть
12 000 грн
Установка хирургического шаблона от 4-х имплантов на одну челюсть
15 000 грн
Установка индивидуального титанового абатмента (для имплантов пр-ва Южной Кореи)
5 000 грн
Установка индивидуального фрезерованного циркониевого абатмента (без стоимости платформы)
6 000 грн
Установка индивидуального титанового абатмента Strauman, Швейцария
6 500 грн
Установка мультиюнит абатмента за 1 ед. (Корея, Израиль)
7 000 грн
Извлечение импланта "под ключ" (без стоимости анестезии, костного заменителя, мембраны)
5 500 грн
Попытка извлечения сломанного винта в импланте под микроскопом
2 000 грн
*В стоимость импланта включено: хирургическая операция по установке имплант, имплант в полной комплектации, ушивание, послеоперационные осмотры, снятие швов, медикаментозная схема в после имплантации.
**Костный материал и мембрана не входят в стандартный набор и расчитываются индивидуально для каждой операции.
Ознакомиться с полным перечнем услуг и их стоимостью можно по ссылке Цены
FAQ
частые вопросы об имплантации зубов

Автор статьи:
Дайнецкая Елена, главный врач Центра семейной стоматологии iStomatologНа консультации в стоматологии iStomatolog вы имеете возможность получить цифровую и видеодиагностику, детальный план, а также общую стоимость всех этапов лечения.
Специалисты по имплантации и хирургии

Пекарский Виталий

Дайнецкая Елена
Отзывы о стоматологии iStomatolog в Киеве
Що мене очікувало в центрі iStomatolog.
1. Відсутність очікування біля кабінету.
2. Відсутність зайвого. Персонал і лікарі тебе не обтяжують. Їх стільки, скільки має бути.
3. Без сумніву професіоналізм. Тебе вислухать, і обов'язково запропонують варіанти лікування. Що безцінно, це те, що тобі в першу чергу будуть пропонувати максимально зберегти свої зуби.
4. Відсутність бажання затягнути процес лікування на рік (якщо у тебе проблема не одного чи двох зубів). Головне, щоб дозволяли працювати ясна (їх стан).
5. Матеріали з якими працюють лікарі. Це виключно японський виробник.
І нарешті результат, який я навіть вже і не очікувала.
Лена, дякую тобі ВЕЛИЧЕЗНЕ за твою роботу. Тобі і твоїй команді.
Але тут працюють дуже відповідальні, приємні і турботливі професіонали! Дякую всій команді цієї стоматології, і окремо дякую моєму стоматологу Пекарському Віталію за прекрасну роботу. Тепер я і солодке їм без болі, і більше посміхаюсь ☺️
Я із задоволенням буду ходити тільки до вас 😊
Всі лікарі уважні, професійні, з щирою турботою про пацієнта. Запам'яталось, як мені років п'ять тому довго і терпляче спасали майже безнадійний зуб, зіпсований в іншій клініці — спасли, стоїть свій зуб, а міг би вже бути імплант.
Дуже рекомендую.
Блог

Открытый синус лифтинг с установкой трех имплантов
Клинический кейс №15 Пациент обратился к нам для восстановления утраченных зубов. Зубы были удалены более 10 лет назад. Никаких протезов...

Одномоментная имплантация "под ключ" двух зубов
Клинический кейс №13 Пациент обратился с целью восстановления двух верхних зубов. Зубы в разрушенном состоянии уже больше нескольких лет. По...

Имплантация переднего зуба
Клинический кейс №12 Пациент обратился к нам для установки коронки на передний зуб. Зуб был ранее лечен. Около года пациент...

Сколько имплантов можно поставить за раз?
Клинический кейс №9 Пациентка обратилась в клинику чтобы поставить коронки на разрушенные зубы верхней челюсти. После осмотра и анализа данных...

Как правильно подготовиться к имплантации зубов?
Потеря одного или нескольких зубов – чрезвычайно распространенное явление, причинами которого являются травмы, кариес, системные заболевания. В результате нарушаются жевательные...

Имплантация жевательного зуба
Клинический случай №3 Жалобы пациента: отсутствие жевательного зуба (4.6 зуб удален более 5 лет назад). Лечение: двухэтапная имплантация и протезирование...

Опасность имплантов
При выборе способа протезирования, человек всегда сравнивает преимущества и недостатки разных методов, применяемых в стоматологической практике. Если говорить об имплантации,...

Одномоментная имплантация переднего зуба
Клинический случай №4 Пациент обратился в Центр iStomatolog с жалобой на припухлость десны в области переднего зуба и болезненные ощущения...
Запишитесь на консультацию или лечение
Предупреждение
Все материала сайта: статьи, фото-, видеоматериалы - имеют исключительно ознакомительный характер, не являются медицинским назначением и не могут быть использованы для самодиагностики и самолечения.
Консультация, обследование и лечение могут быть назначены и проведены только доктором соответствующей специализации.
Компания не несет ответственность за негативные последствия в результате использования данной информации.
Информация на сайте является собственностью компании ООО "Стоматологическая клиника "Айстоматолог" и защищена авторским правом.