Протезирование при отсутствии всех зубов
Навигация
- Полное отсутствие зубов
- Когда требуется полное протезирование?
- Варианты протезирования зубов при отсутствии зубного ряда
- Какой вариант протезирования выбрать при полной адентии
- ППротивопоказания к установке имплантов
- Виды протезов при полном отсутствии зубов
- Этапы проведения полного протезирования в клинике iStomatolog
- Уход за протезами после полного протезирования
- Цена протезирования при полном отсутствии зубов
- FAQ, гарантия, отзывы о стоматологии iStomatolog

Полное отсутствие зубов
Полная адентия (отсутствие зубов) не только сказывается на внешнем виде человека, существенно ухудшает качество его жизни, приносит дискомфорт, вызывает комплексы, неуверенность в себе и психические расстройства, но и причиняет вред общему здоровью. Из-за невозможности нормально пережевывать пищу нарушается работа ЖКТ и обмен веществ, атрофируются кости челюстей и возникают другие проблемы. Современная стоматология предлагает эффективные способы исправить такую ситуацию. Полное протезирование зубов по конкурентной цене в Киеве предлагает клиника iStomatolog.
Когда требуется полное протезирование? Причины адентии
Тотальное протезирование требуется при полной потере зубов на одной или обеих челюстях. Такая ситуация чаще встречается у пожилых пациентов, но лишиться всего зубного ряда можно и в молодом возрасте. Причиной полной адентии могут стать:
- врожденные аномалии зубочелюстной системы;
- травмы челюсти, полученные в результате военных действий, аварии, стихийного бедствия и других несчастных случаев;
- запущенные заболевания десен – пародонтоз, пародонтит;
- рассасывание зубных зачатков, вызванное инфекционным заболеванием или сбоем в работе эндокринной системы;
- наследственный фактор;
- нарушения минерального обмена в период внутриутробного развития;
- множественные осложнения кариеса, требующие удаления зубов, и другие заболевания.
Варианты протезирования зубов при отсутствии зубного ряда
Для протезирования верхней или нижней челюсти при отсутствии всех зубов могут применяться:
- съемные протезы без имплантатов;
- условно съемные или несъемные конструкции с опорой на импланты. Этот вариант не предусматривает установку импланта под каждый зуб. Обычно на одну челюсть устанавливают 4 или 6 опор;
- одиночные импланты с коронкой – каждый из них заменяет один зуб, а устанавливают их 8-12 штук на челюсть.
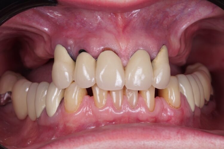
Клинический кейс
Полное отсутствие зубов обусловлено их удалением вследствии несвоевременной замены некачественных коронок и разрушения корней зубов под ними.
Записаться на консультацию или лечение
Какой вариант протезирования выбрать при полной адентии
Чтобы определиться с выбором подходящего варианта для полного протезирования челюсти, следует знать плюсы и минусы каждого из них.
Полный съемный протез – самый недорогой вариант, доступный для большинства пациентов. Основные его недостатки:
- неплотное прилегание и ненадежная фиксация. Чтобы такой протез не смещался и не выпадал во время приема пищи или разговора, необходимо дополнительно зафиксировать его с помощью стоматологического клея;
- обязательное снятие протеза на ночь, ежедневная чистка и необходимость хранения в стакане с водой, чтобы он не деформировался;
- недостаточная жевательная нагрузка на челюстную кость, что при длительном ношении протеза может привести к атрофии костной ткани;
- непрочный базис – он изготавливается из тонкого пластика, в котором при жевательной нагрузке могут образовываться трещины.
Более практичным вариантом является условно съемный протез с опорой на импланты. Такое протезирование зубов при полном их отсутствии находит широкое применение, несмотря на более высокую стоимость, по сравнению с полными съемными протезами, поскольку конструкция с опорой на импланты:
- надежно фиксируется и не выпадает изо рта;
- обеспечивает достаточную и равномерную нагрузку на челюстные кости челюсти, что исключает риск их атрофии;
- не вызывает дискомфорта и ощущается во рту, как собственные зубы;
- допускает постоянное ношение, без снятия на ночь, но при необходимости может сниматься самостоятельно или с помощью врача-стоматолога, в зависимости от типа крепления к имплантам.
Использование одиночных имплантов для тотального протезирования зубов – наиболее дорогой по цене вариант, но он обеспечивает максимальный комфорт, а зубные коронки смотрятся в этом случае наиболее естественно на «родных» деснах.
Противопоказания к установке имплантов
Выбирая, какой зубной протез при полном отсутствии зубов лучше установить, необходимо учитывать, что вживление имплантов противопоказано при наличии у пациента:
- аллергии на анестетики или материал импланта;
- проблем со свертываемостью крови;
- декомпенсированного сахарного диабета;
- аутоиммунных и психических заболеваний;
- злокачественных образований;
- хронического стоматита и воспаления слизистой оболочки рта.
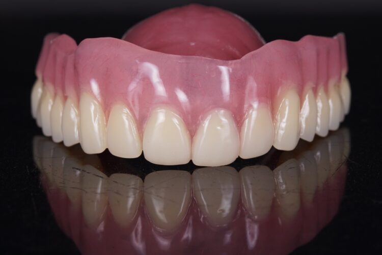
Виды протезов при полном отсутствии зубов
Для восстановления зубного ряда при полной адентии применяют протезы следующих видов:
- Полные съемные пластинчатые протезы с основой из полимерной пластины, повторяющей форму неба и (или) десны. На единой базе установлен зубной ряд из пластиковых коронок. Такие протезы бывают:
- акриловыми;
- нейлоновыми;
2. протезы с опорой на импланты в виде полного зубного ряда из пластиковых (изготовленных из инновационного материала BioHPP) или безметалловых (циркониевых, керамических или керамокомпозитных) коронок, установленных на искусственной десне. Это может быть:
- бюгельный протез с металлической или ацеталовой дугой. Такие конструкции оснащены специальными замками для крепления к имплантам. Их не нужно снимать на ночь, но при необходимости это можно сделать, что относит бюгельные протезы к разряду условно съемных;
- протез с базисом из акрила и искусственными зубами из диоксида циркония, керамокомпозита или керамики. Для его установки используется 4 или 6 титановых имплантов, которые устанавливают по системе All-on-4 или All-on-6. Протез может крепиться к абатментам титановых стержней с помощью цемента (несъемный протез), замком или винтами (условно съемный).
Этапы проведения полного протезирования в клинике iStomatolog
В клинике iStomatolog в Киеве протезирование при полном отсутствии зубов включает следующие обязательные этапы:
Уход за протезами после полного протезирования
- Установленный протез необходимо ежедневно чистить зубной щеткой и пастой 2 раза в день и один раз в полгода проходить осмотр у стоматолога с проведением профессиональной гигиены полости рта. Съемный протез необходимо снимать на ночь и держать в сосуде с водой или антисептиком.
Цены в Киеве на зубные протезы при полном отсутствии зубов
Цена протезирования при полном отсутствии зубов зависит от ряда факторов:
- вида ортопедической конструкции – несъемный, съемный или условно съемный протез;
- материала изготовления основы и зубных коронок;
- необходимости и стоимости восстановления объема челюстной кости;
- количества имплантов при установке протеза с опорой на импланты или бюгельного протеза;
- цены имплантов.
Обращайтесь в клинику iStomatolog в Киеве, если Вам нужно провести полное протезирование челюсти! Узнать цены на протезы и записаться на прием к врачу можно на нашем сайте. Точную стоимость протезирования Вы узнаете после осмотра и обследования.
Цены на протезирование зубов
срок выполнения работ от 3-х часов до 5 раб.дней
Изготовление цифрового оттиска одной челюсти
700 грн
Установка фрезерованной накладки, вкладки керамической CEREC/ Ivoclar за 1 визит
11 000 грн
Установка фрезерованной накладки, вкладки, коронки E.max за 1 визит, на зуб или имплант
14 000 грн
Установка коронки на зуб циркониевая или Е.МАХ (Германия)
12 500 грн
Установка коронки на имплант циркониевая или Е.МАХ (Германия), 2-5 дней
13 000 грн
Установка винира, люминира фрезерованного, Ivoclar
14 000 грн
Установка временной фрезерованной коронки длительного ношения на зуб (Telio, Ivoclar)
3 500 грн
Установка временной фрезерованной коронки длительного ношения на имплант (Telio, Ivoclar)
4 000 грн
Установка одной единицы (коронки, виниры, накладки, владки) при тотальном протезировании безметалловыми коронками E.Max (Германия) или с диоксида циркония (Германия) с индивидуализацией
16 000 грн
Установка опакового колпачка E.Max или из диоксида циркония (дополнительный функционал)
3 000 грн
Установка пластмассовой коронки 3D печать, примерочная (Mock up)
800 грн
Установка временной пластмассовой клинической коронки
1 200 грн
Протезирование "Все на 4/6"
(за 1 челюсть, без стоимости абатментов или мультиюнит абатментов )
Установка временной конструкции армированной фрезерованой балкой
40 000 грн
Установка постоянной конструкции полноанатомический циркон с индивидуализацией красителями
85 000 грн
Установка постоянной конструкции полноанатомический циркон с нанесением керамики
100 000 грн
Установка постоянной конструкции на фрезерованной титановой балке, полноанатомический циркон или с нанесением керамики, с уровня импланта или мультиюнит абатмента
140 000 грн
Установка постоянной конструкции на фрезерованной титановой балке, каркас облицовка композит, композитные зубы, с уровня импланта или мультиюнит абатмента
90 000 грн
Установка прототипа конструкции 3D печать, примерочный
3 000 грн
Съемные протезы
Установка частичного съемного акрилового протеза (на одну челюсть), Германия
13 000 грн
Установка полного съемного акрилового протеза (на одну челюсть), Германия
15 000 грн
Установка бюгельного протеза с кламерной фиксацией (на одну челюсть), Германия
16 500 грн
Установка ацеталового бюгельного протез (за одну челюсть)
16 500 грн
Установка нейлонового протеза Valplast (за одну челюсть)
15 500 грн
Коррекция съемной/ несъемной конструкции
350 грн
Добавление к съемному протезу 1-3 зубов/ кламмеров
1 700 грн
Перебазировка съемного протеза
2 200 грн
Ремонт съемного протеза при переломе акрилового базиса
1 800 грн
Коррекция прикусного воскового валика
700 грн
Применение индивидуальной оттискной ложки
1 000 грн
Проведение профессиональной чистки протеза
2 000 грн
Установка замок для фиксации съемного протеза к корню зуба ( за 1 замок в комплекте)
3 500 грн
FAQ
частые вопросы о полном протезировании при отсутствии всех зубов
Автор статьи:
Дайнецкая Елена, главный врач Центра семейной стоматологии iStomatologНа консультации в стоматологии iStomatolog вы имеете возможность получить цифровую и видеодиагностику, детальный план, а также общую стоимость всех этапов лечения.
Специалисты по протезированию зубов
Пекарский Виталий
Дайнецкая Елена
Дышловая Ирина
Отзывы о стоматологии iStomatolog в Киеве
Всі лікарі уважні, професійні, з щирою турботою про пацієнта. Запам'яталось, як мені років п'ять тому довго і терпляче спасали майже безнадійний зуб, зіпсований в іншій клініці — спасли, стоїть свій зуб, а міг би вже бути імплант.
Дуже рекомендую.
Що мене очікувало в центрі iStomatolog.
1. Відсутність очікування біля кабінету.
2. Відсутність зайвого. Персонал і лікарі тебе не обтяжують. Їх стільки, скільки має бути.
3. Без сумніву професіоналізм. Тебе вислухать, і обов'язково запропонують варіанти лікування. Що безцінно, це те, що тобі в першу чергу будуть пропонувати максимально зберегти свої зуби.
4. Відсутність бажання затягнути процес лікування на рік (якщо у тебе проблема не одного чи двох зубів). Головне, щоб дозволяли працювати ясна (їх стан).
5. Матеріали з якими працюють лікарі. Це виключно японський виробник.
І нарешті результат, який я навіть вже і не очікувала.
Лена, дякую тобі ВЕЛИЧЕЗНЕ за твою роботу. Тобі і твоїй команді.
Але тут працюють дуже відповідальні, приємні і турботливі професіонали! Дякую всій команді цієї стоматології, і окремо дякую моєму стоматологу Пекарському Віталію за прекрасну роботу. Тепер я і солодке їм без болі, і більше посміхаюсь ☺️
Я із задоволенням буду ходити тільки до вас 😊
Блог
Открытый синус лифтинг с установкой трех имплантов
Клинический кейс №15 Пациент обратился к нам для восстановления утраченных зубов. Зубы были удалены более 10 лет назад. Никаких протезов...
Одномоментная имплантация "под ключ" двух зубов
Клинический кейс №13 Пациент обратился с целью восстановления двух верхних зубов. Зубы в разрушенном состоянии уже больше нескольких лет. По...
Имплантация переднего зуба
Клинический кейс №12 Пациент обратился к нам для установки коронки на передний зуб. Зуб был ранее лечен. Около года пациент...
Сколько имплантов можно поставить за раз?
Клинический кейс №9 Пациентка обратилась в клинику чтобы поставить коронки на разрушенные зубы верхней челюсти. После осмотра и анализа данных...
Как правильно подготовиться к имплантации зубов?
Потеря одного или нескольких зубов – чрезвычайно распространенное явление, причинами которого являются травмы, кариес, системные заболевания. В результате нарушаются жевательные...
Имплантация жевательного зуба
Клинический случай №3 Жалобы пациента: отсутствие жевательного зуба (4.6 зуб удален более 5 лет назад). Лечение: двухэтапная имплантация и протезирование...
Запишитесь на консультацию или лечение
Предупреждение
Все материала сайта: статьи, фото-, видеоматериалы - имеют исключительно ознакомительный характер, не являются медицинским назначением и не могут быть использованы для самодиагностики и самолечения.
Консультация, обследование и лечение могут быть назначены и проведены только доктором соответствующей специализации.
Компания не несет ответственность за негативные последствия в результате использования данной информации.
Информация на сайте является собственностью компании ООО "Стоматологическая клиника "Айстоматолог" и защищена авторским правом.


