Имплантация зубов
Навигация
- Когда можно и нельзя устанавливать зубной имплант
- Виды имплантации зубов
- Как происходит установка импланта в iStomatolog?
- Фото "до и после" имплантации зубов
- Преимущества имплантации зубов в iStomatolog
- Этапы установки зубного импланта "под ключ"
- Что можно и нельзя делать после имплантации?
- Цены на имплантацию зубов
- FAQ, гарантия, отзывы о стоматологии iStomatolog
Имплантация зубов, что это?
Имплантация зубов — это метод восстановления утраченного корня зуба имплантом с последующей установкой зубной коронки на него (посредством соединения их через специальный абатмент).
Конструкция зубного импланта состоит из основных двух частей: самого импланта и абатмента.
Если говорить упрощенно, то зубной имплант — это искусственный корень, который устанавливается в кость челюсти на место отсутствующего зуба. Сначала, в костную ткань устанавливают имплант, а затем устанавливается абатмент и на нем фиксируется зубная коронка (керамическая / циркониевая / металлокерамическая).
Часто, пациенты употребляют фразу «зубной имплант» вместо привычной в медицинской терминологии «зубной имплантат», эти понятия тождественны, и применимы в имплантологии.
Показания для установки зубного импланта
- Отсутствие зуба в результате его удаления
- Одновременное удаление зуба и установка зубного импланта
- Врожденное отсутствие зуба
Противопоказания для установки импланта
Все противопоказания можно поделить на две основные группы: абсолютные (импланты не устанавливают) и относительные (установка импланта возможна, но при соблюдении определенных условий).
Абсолютные противопоказания:
- заболевания крови, сопровождающиеся нарушением ее свертываемости
- злокачественное новообразование в области установки импланта
- психические расстройства
- аутоимунные заболевания в стадии декомпенсации
- СПИД терминальная стадия
Относительные противопоказания:
- онкологические заболевания (можно после стабилизации или в ремиссии)
- химиотерапия и лучевая терапия (можно после прекращения, не ранее чем через 1 месяц)
- недавние обширные хирургические вмешательства связанные с большой потерей крови (возможно после стабилизации показателей крови)
- острый период любых заболеваний (или обострение хронического заболевания)
- перенесенные инфаркты и инсульты в течении последнего года (возможно при назначении поддерживающей терапии лечащим врачом)
- прием препаратов для разжижения крови (возможно при отмене препарата или снижении дозы после согласования с лечащим врачом)
- наркомания и алкоголизм (можно, но вероятность отторжения имплантация очень высокая)
- возраст до 16 лет
- при сахарном диабете возможно у больных принимающих инсулин на регулярной основе
- заболевания связанные с нарушением обмена кальция
Способы установки импланта и коронки
- одновременно устанавливают имплант вместе с коронкой - одноэтапная имплантация
- сначала устанавливают имплант, а затем через установленный промежуток времени коронку - двухэтапная имплантация
Виды имплантации зубов
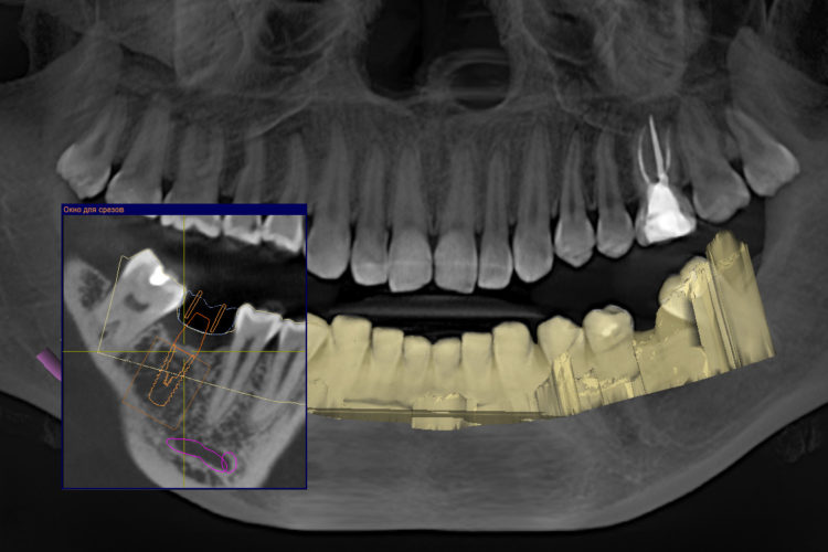
Клинический кейс имплантации
Все этапы: от компьютерной томограммы до установки коронки на имплант.
Установленный имплант: 4.5 мм на 11.5 мм
Коронка на имплант: дисиликат лития, винтовая фиксация, изготовлена в клинике за 3 часа.
Абатмент: индивидуальный титановый.
Длительность имплантации: 1.5 часа.
Промежуток от импланта до коронки: 3 месяца.
Заключение: проведена установка импланта с одновременной пластикой десны и формированием межзубных сосочков. В имплант установлен формирователь десны. Рана ушита. Швы необходимо снять через 10-14 дней. Даны рекомендации в послеоперационный период.
Установка коронки на имплант запланирована через 3 месяца.
Как происходит процедура имплантации зубов
в стоматологии Киева iStomatolog при двухэтапном способе установки имплантов
1. Предварительно пациенту проводится компьютерная томография челюстей. Это трехмерное изображение челюстей на котором доктор оценивает тип кости, расположение важных анатомических образований (например, на нижней челюсти - это нижнечелюстной канал, в котором проходит нижнечелюстной нерв; при неправильной подобранной длине импланта зуба возможно повреждение нерва и нарушение чувствительности половины нижней челюсти и языка).
В специальной программе мы подбираем оптимальный размер импланта: его длину и диаметр. Диаметр импланта подбирается с учетом ширины альвеолярного отростка (участка кости, куда будет установлен имплант). После анализа полученных данных мы предлагаем пациенту возможные варианты системы имплантов различной стоимости, с описанием их преимуществ и недостатков. Процент приживаемости достаточно высокий у всех систем, однако у имплантов Штрауман и Нобель этот показатель самый высокий, а вероятность отторжения наиболее низкая.
2. Виртуальная установка выбранного импланта в челюсти. В программе планирования имплантации мы выбираем в каталоге необходимого производителя имплантов, тип импланта, а также его длину и диаметр. Затем располагаем его в костной ткани челюсти и повторно проверяем расположение относительно рядом стоящих зубов и анатомических образований. В сложных клинических ситуациях дополнительно проводится виртуальное протезирование. Например, при восстановлении зубов на беззубых челюстях - предварительное планирование будущего протеза очень важно и позволяет разместить импланты в челюсти таким образом, чтобы обеспечить равномерное распределение жевательного давления и высокий эстетический показатель.
Важно: чтобы поставить имплант зуба необходимо 3D изображение челюсти; планирование имплантации не проводится по двухмерным изображения (по обычному рентген снимку), так как они не позволяют оценить необходимые показатели: ширину и высоту костной ткани.
3. Установка самого импланта. Это безболезненная процедура, которая проводится под местным обезболиванием (обезболивается только участок челюсти на котором проводится хирургическое вмешательство). Наркоз или седация целесообразны при установке большого количества имплантов с проведением сопутствующих операций или при патологической боязни пациента, или наличии сопутствующих заболеваний.
Этапы:
- Местное обезболевание
- Антисептическая обработка полости рта и непосредственно места установки импланта ( применяется раствор бетадина).
- Разрез слизистой для обеспечения доступа к костной ткани альвеолярного отростка.
- С помощью аппарата (который называется физиодиспенсер) и различных по диаметру и длине сверл создается ложе в кости для импланта. Очень важно, чтобы работа на кости проводилась на специальном имплантологическом оборудовании. Особенностями которого является обеспечение охлаждения кости в процессе работы и наличие определенных режимов работы.
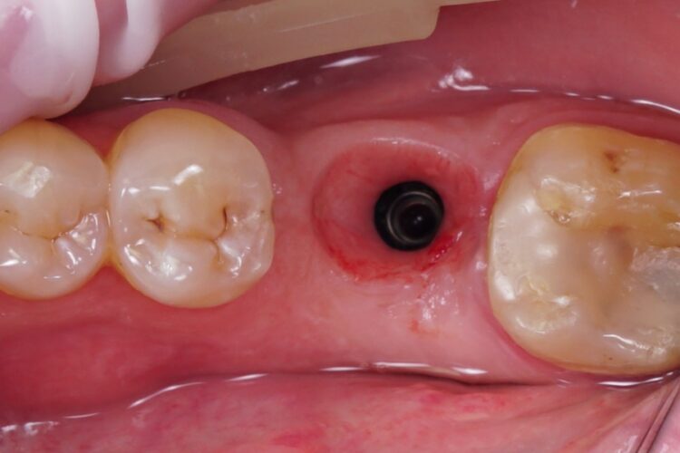
- В подготовленное ложе устанавливают имплант. Он должен быть установлен полностью в костную ткань и закрыт заглушкой. Одновременно с установкой импланта возможно проведение подсадки костной ткани, мембран, PRF сгустков. PRF - это фибрин обогащенный тромбоцитами; его получают из венозной крови пациента после обработки в специальной центрифуге (в стоматологической клинике iStomatolog применяют центрифугу DUO by dr. Joseph Choukroun). Благодаря наличию большого количества факторов роста в PRF сгустках и мембранах - улучшается приживление импланта, сокращается срок восстановления слизистой оболочки десны и костной ткани; значительно снижается вероятность возникновения осложнений после имплантации. Данную технологию еще называют плазмолифтингом и применяют с целью омоложения кожи.
- Ушивание слизистой над установленным имплантом. Нитки, которые используют могут быть рассасывающимися, то есть нет необходимости снятия швов, и нерассасывающиеся - доктор предупреждает через сколько дней пациенту необходимо снять швы.
- Финальная антисептическая обработка слизистой и наложение специального пластыря, который обеспечивает закрытие швов, и за счет содержания активных веществ - дает легкий обезболивающий и антисептический эффект.
Фото до и после имплантации зубов
Имплантация двух центральных зубов с установленными циркониевыми коронками.

Имплантация центрального зуба с установленной коронкой E.max

Записаться на консультацию или лечение
Преимущества имплантации зубов в iStomatolog
- Подбор системы имплантов для любого клинического случая
- Возможность изготовления зубной коронки за 1 день
- Возможность установить зубные импланты Straumann, Nobel
- Установка одного импланта за 30 минут
- Технология PRF для восстановления десен и кости
- Время реабилитации после имплантации 1 день
Этапы установки зубного импланта "под ключ"
1. Осмотр и анализ
2. Установка зубного импланта
3. Снятие швов
4. Формирователь десны зуба
5. Оттиски для коронки
6. Фиксация коронки
Курение и зубные импланты
Никотин, содержащийся в табаке, способствует сужению кровеносных сосудов. Как следствие, ухудшается питание тканей и замедляются процессы обмена веществ. Это негативно влияет на заживление тканей после имплантации. Поэтому рекомендуется, как минимум, ограничить курение, а в идеале не курить после установки имплантов.
Почему установка зубного импланта должна быть своевременной?
При потере зуба, со временем, теряется костная ткань челюсти. Каждый зуб в ротовой полости имеет свой коэффициент нагрузки и при потере его — другие зубы перегружаются, что приводит к быстрому разрушению соседних зубов и разрушению тканей, которые их окружают, а именно кости.
Загляните в зеркало и будете удивлены — при потере зуба, соседние зубы со временем наклоняются в сторону отсутствующего зуба, а зубы-антагонисты (которые находятся напротив) - выдвигаются. Это еще одна причина по которой необходимо восстановление отсутствующего зуба.
Еще один важный момент - при потере своего зуба, со временем происходит утрата кости и чтобы восстановить функцию и эстетику этой зоны понадобятся дополнительные вмешательства в виде подсадки костной ткани для восстановления утраченного объема.
Поэтому, когда есть показания для установки зубного импланта — не стоит откладывать данный вопрос на неопределенное время.
Основные способы имплантации зубов
Двухэтапная имплантация зубов
Это классический вариант имплантации. Состоит из первого этапа — это сама имплантация. В это время устанавливается зубной имплант, ушивается десна и через определенный срок, после приживления (в зависимости от системы имплантата - нижняя челюсть: 1,5-3 месяца, верхняя челюсть: 3-6 месяцев) следует второй этап. Во время второго этапа происходит протезирование на имплантах - устанавливается коронка или мостовидный протез.
- Преимущество — высокая приживаемость.
- Недостаток — время необходимое для проведения полного цикла имплантации.
Одноэтапная имплантация зубов
- Преимущество — это существенная экономия времени.
- Недостаток — заметно более низкий показатель приживления импланта в кости. Повышенная вероятность отторжения.
Техника с немедленной нагрузкой импланта
Может использоваться в переднем участке (на передних зубах).
- Преимущество — моментальный результат.
- Недостаток — при установке на жевательные зубы высока вероятность отторжения импланта.
Какие составляющие качественной имплантации?
- Грамотная диагностика и планирование имплантации.
- Тщательная подготовка пациента. Проведение профессиональной гигиены полости рта. При необходимости — лечение других зубов - необходимо устранить все очаги инфекции (не должно быть кариозных процессов, воспалительных процессов десны).
- Имплантация. Соблюдение всех норм асептики и антисептики при проведении хирургического вмешательства, для избежания присоединения инфекции во время имплантации.
- Послеоперационный период. Четкое следование рекомендациям лечащего врача в постимплантационном периоде.
Что нельзя делать после имплантации?
Важным моментом после проведенной имплантации зубов является соблюдение рекомендаций лечащего доктора. Несмотря на то, что каждый клинический случай индивидуален, все же есть общие рекомендации в ранний и поздний постимплантационный период. Большинство ограничений действуют в первые две недели после операции и позволяют преотвратить развитие таких осложнений как кровотечение, расхождение швов или образование гематом (синяков).
Не рекомендуется:
- отказываться от приема медицинских препаратов выписанных врачом (антибиотики, противовоспалительные препараты, болеутоляющие, антигистаминные, мочегонные); в случае индивидуальной непереносимости назначенного препарата - необходимо поставить в известность доктора и вам подберут альтернативный препарат;
- при проведении операции на одной стороне челюсти - рекомендуется жевать на противоположную сторону; при имплантации по обе стороны - строго ограничить прием твердой и жесткой пищи;
- прием любых алкогольных напитков;
- прием твердой и жесткой пищи, очень холодной или горячей;
- посещение бани и сауны, бассейна, открытых водоемов;
- переохлаждение;
- курение;
- тяжелые физические нагрузки связанные с занятиями спортов или работой;
- трогать место установленного импланта;
- использовать жесткую зубную щетку (рекомендовано использование мягкой зубной щетки до момента снятия швов);
- перелеты на самолёте или подводное плавание после проведенного синус-лифтинга (после обычной имплантации лучше воздержаться от самолета 2-3 дня, а от ныряния с аквалангом - 2 недели).
Какие лекарства назначают после имплантации зубов?
Для профилактики развития инфекции назначают - антибиотики широкого спектра действия. Противовоспалительные препараты купируют признаки воспаления, а соответственно снижают боль и отечность. Болеутоляющие препараты - не являются обязательными, пациент принимает их с учетом выраженности боли. В первые сутки назначают однократно или двукратно мочегонные препараты - они предотвращают развитие послеоперационного отека.
В первые две недели рекомендованы ополаскивание полости рта с антисептиками несколько раз в день (после приема пищи) и смазывание участка имплантации специальными гелями, образующими защитную пленку.
Как чистить зубы после установки импланта?
В первые две недели (до момента снятия швов и окончательного заживления слизистой) рекомендуется замена зубной щетки на мягкую. Очистку зубов нужно проводить не затрагивая наложенные швы (разрыв швов не является на катастрофой, если их наложить повторно в кратчайшие сроки); после очистки зубной щеткой полость рта споласкивают раствором антисептика, а на область швов наносят гель для ускорения регенерации слизистой.
Какие виды зубных имплантов используют в стоматологии iStomatolog
Мы работаем с большинством сертифицированных имплантологических систем производства Швейцарии, Южной Кореи, Израиля, Европы и США. В первую очередь имплант подбирается с учетом клинической ситуации. Далее мы предлагаем пациенту на выбор импланты разных ценовых категорий, уточняя преимущества и недостатки каждого из них.
Наибольшей популярностью в последние годы пользуются импланты Штрауман, Мегаджен, Дентис (Дентиум), АльфаБио. Данные имплантологические системы имеют большой диапазон показаний для установки в любом клиническом случае и доступную стоимость.






Цены на имплантацию зубов
Установка импланта Dentis OneQ (Корея)
13 500 грн
Установка импланта Dentis SQ (Корея)
14 000 грн
Установка импланта Strauman BLT SLA, Ti (Швейцария)
21 000 грн
Установка импланта Strauman BLT Roxolid SLA, Ti - Zr (Швейцария)
22 000 грн
Установка импланта Strauman BLT Roxolid SLActive, Ti - Zr (Швейцария)
23 000 грн
Установка импланта MagaGen Any Ridge (Корея)
16 500 грн
Установка импланта MagaGen AnyOne (Корея)
15 500 грн
Установка формирователя десны (Megagen, Dentis, Оsstem)
1 700 грн
Установка формирователя десны (Strauman)
2 700 грн
Установка хирургического шаблона до 4-х имплантов на одну челюсть
12 000 грн
Установка хирургического шаблона от 4-х имплантов на одну челюсть
15 000 грн
Установка индивидуального титанового абатмента (для имплантов пр-ва Южной Кореи)
5 000 грн
Установка индивидуального фрезерованного циркониевого абатмента (без стоимости платформы)
6 000 грн
Установка индивидуального титанового абатмента Strauman, Швейцария
6 500 грн
Установка мультиюнит абатмента за 1 ед. (Корея, Израиль)
7 000 грн
Извлечение импланта "под ключ" (без стоимости анестезии, костного заменителя, мембраны)
5 500 грн
Попытка извлечения сломанного винта в импланте под микроскопом
2 000 грн
*В стоимость импланта включено: хирургическая операция по установке имплант, имплант в полной комплектации, ушивание, послеоперационные осмотры, снятие швов, медикаментозная схема в после имплантации.
**Костный материал и мембрана не входят в стандартный набор и расчитываются индивидуально для каждой операции.
Ознакомиться с полным перечнем услуг и их стоимостью можно по ссылке Цены
FAQ
частые вопросы об имплантации зубов

Автор статьи:
Дайнецкая Елена, главный врач Центра семейной стоматологии iStomatologНа консультации в стоматологии iStomatolog вы имеете возможность получить цифровую и видеодиагностику, детальный план, а также общую стоимость всех этапов лечения.
Специалисты по имплантации и хирургии

Пекарский Виталий

Дайнецкая Елена
Отзывы о стоматологии iStomatolog в Киеве
Всі лікарі уважні, професійні, з щирою турботою про пацієнта. Запам'яталось, як мені років п'ять тому довго і терпляче спасали майже безнадійний зуб, зіпсований в іншій клініці — спасли, стоїть свій зуб, а міг би вже бути імплант.
Дуже рекомендую.
Але тут працюють дуже відповідальні, приємні і турботливі професіонали! Дякую всій команді цієї стоматології, і окремо дякую моєму стоматологу Пекарському Віталію за прекрасну роботу. Тепер я і солодке їм без болі, і більше посміхаюсь ☺️
Я із задоволенням буду ходити тільки до вас 😊
Блог

Открытый синус лифтинг с установкой трех имплантов
Клинический кейс №15 Пациент обратился к нам для восстановления утраченных зубов. Зубы были удалены более 10 лет назад. Никаких протезов...

Одномоментная имплантация "под ключ" двух зубов
Клинический кейс №13 Пациент обратился с целью восстановления двух верхних зубов. Зубы в разрушенном состоянии уже больше нескольких лет. По...

Имплантация переднего зуба
Клинический кейс №12 Пациент обратился к нам для установки коронки на передний зуб. Зуб был ранее лечен. Около года пациент...

Сколько имплантов можно поставить за раз?
Клинический кейс №9 Пациентка обратилась в клинику чтобы поставить коронки на разрушенные зубы верхней челюсти. После осмотра и анализа данных...

Как правильно подготовиться к имплантации зубов?
Потеря одного или нескольких зубов – чрезвычайно распространенное явление, причинами которого являются травмы, кариес, системные заболевания. В результате нарушаются жевательные...

Имплантация жевательного зуба
Клинический случай №3 Жалобы пациента: отсутствие жевательного зуба (4.6 зуб удален более 5 лет назад). Лечение: двухэтапная имплантация и протезирование...

Опасность имплантов
При выборе способа протезирования, человек всегда сравнивает преимущества и недостатки разных методов, применяемых в стоматологической практике. Если говорить об имплантации,...
Запишитесь на консультацию или лечение
Предупреждение
Все материала сайта: статьи, фото-, видеоматериалы - имеют исключительно ознакомительный характер, не являются медицинским назначением и не могут быть использованы для самодиагностики и самолечения.
Консультация, обследование и лечение могут быть назначены и проведены только доктором соответствующей специализации.
Компания не несет ответственность за негативные последствия в результате использования данной информации.
Информация на сайте является собственностью компании ООО "Стоматологическая клиника "Айстоматолог" и защищена авторским правом.