Керамические зубные коронки
Навигация
- Почему безметалловые коронки очень прочные?
- Показания и противопоказания для установки керамической коронки
- Преимущества зубной керамической коронки
- Этапы установки безметалловой керамической коронки в iStomatolog в Киеве
- Фото "до и после" установки керамических коронок
- Какие плюсы керамических коронок? Срок службы
- Осложнения после установки керамических коронок
- Преимущества установки керамических коронок в iStomatolog в Киеве
- Цены на протезирование зубов
- FAQ, гарантия, отзывы о стоматологии iStomatolog

Почему безметалловые коронки очень прочные?
Безметалловая керамика является идеальным инструментом с точки зрения эстетики и прочности зубных коронок, вкладок, мостов.
При установке зубных керамических коронок используется химическая связь, что позволяет получить монолитную конструкцию зуб-коронка.
Отсутствие металлического каркаса обеспечивает светопреломление материала идентичное тканям зуба.
Безметалловые керамические коронки во многом (прочность, эстетика и долговечность) превосходят реставрацию "мертвых" зубов на штифтах (наращивание зубов).
Этот вид зубных коронок устанавливается как на "живые" зубы, так и на "мертвые", а также, при заболеваниях пародонта или аллергии на металл.
Показания для установки керамической коронки:
Когда нельзя ставить керамические коронки на зубы?
Керамические коронки на зубы нельзя устанавливать при отсутствии одного или нескольких зубов, поскольку мостовидные протезы не изготавливают из керамики. Протезы из керамики не рекомендуется устанавливать у пациентов:
- с выраженным бруксизмом и гипертонусом жевательных мышц;
- при отсутствии большого количества жевательных зубов и наличии перегрузки оставшихся ( например, при отсутствии боковых зубов установка керамики на передние - не целесообразна, есть высокий риск раскола);
- при наличии эпилепсии или установленного эпилептического статуса ( во время эпилептического приступа наблюдается сильное напряжение мышц и сжимание челюстей);
- при занятиях видами спорта сопряженными с высоким риском травмы ( бокс ).
При наличии вышеперечисленных противопоказаний коронки из керамики могут быть установлены, но риск раскола протезов очень велик.
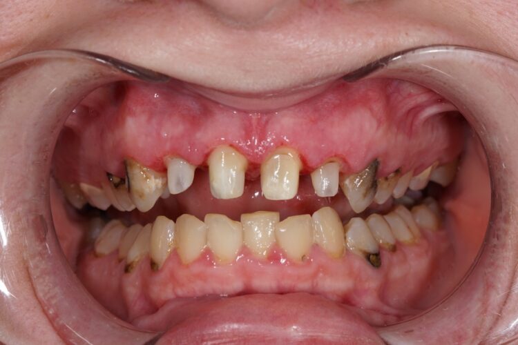
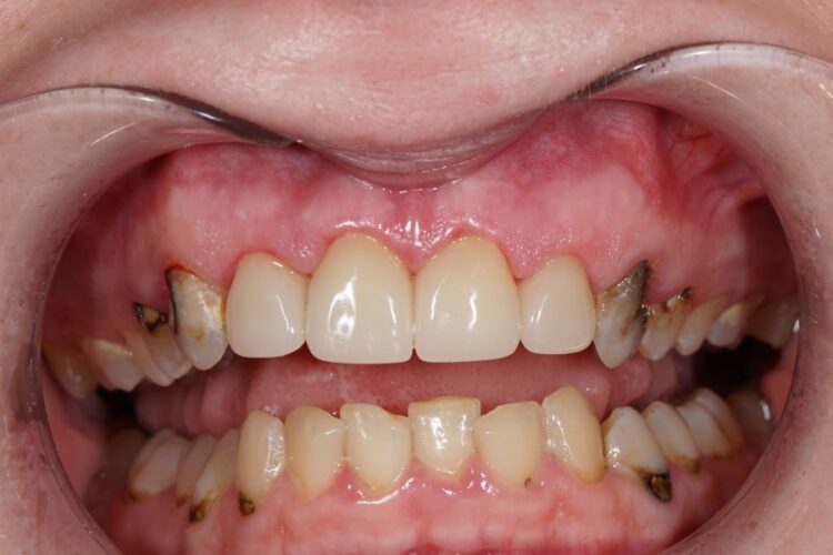
Протезирование передних зубов керамическими коронками
Работа была проделана в клинике в течение 8 часов. Пациентке провели подготовку зубов для установки безметалловых керамических коронок. Сканирование, моделирование и фрезерование коронок произведено цифровым методом. Коронки изготовлены из материала Empress – керамика от немецкого производителя Ivoclar.
Записаться на консультацию или лечение
Преимущества зубной керамической коронки
Этапы установки безметалловой керамической коронки в iStomatolog в Киеве
Подготовка
Сканирование
Компьютерное моделирование
Фрезерование коронки
Кристализация или синтеризация
Индивидуализация красителями
Фиксация
Фото "до и после" установки керамических коронок





Преимущества установки керамических коронок в iStomatolog в Киеве
- Мы изготавливаем керамические коронки за 1 день
- Высокая эстетика при наибольшей прочности среди других материалов (нагрузка до 350-400 МПа)
- Долговечность зубных керамических коронок
- Здоровые ткани десен (без сине-серого канта)
- Гарантия 12 месяцев
Какие плюсы керамических коронок?
Преимущества керамических протезов для зубов объясняются физико-химическими свойствами керамики:
- разнообразие цветов и оттенков
- вариации прозрачности
- химическая связь с тканями зуба
- отличная полируемость
- высокая прочность
- биологическая инертность
Плюсы керамических коронок при установке на зубы:
- со временем не меняют оттенок или цвет, не пропитываются пищевыми красителями;
- поверхность коронок не теряет блеск и практически не стирается;
- зубные коронки изготовленные из полевошпатной керамики имеют идеальную эстетику и максимальную приближенность к тканям зуба за счет эффектов транслюценции, опалесценции;
- высокая прочность при установке на зуб ( керамика обрабатывается плавиковой кислотой, благодаря чему появляется возможность химической связи с дентином и эмалью зуба; связь керамики с эмалью в несколько раз прочнее чем с дентином, именно поэтому возможно минимальное обпиливание зуба под коронку и установка керамических коронок на живые зубы);
- возможность изготовления тонких коронок;
- минимальное обтачивание зуба, нет необходимости удалять нервы в зубе перед установкой коронки;
- не раздражают ткани десны, так как материал является биоинертным ( безопасны при наличии заболеваний десен или непереносимости металлов )
- не стирают свои зубы - антагонисты или пломбы на зубах;
- при цифровом методе изготовления керамические коронки идеально повторяют контуры зуба, что исключает вероятность поражения зуба под коронкой кариесом.
Сколько времени служат коронки из керамики, и когда нужно их менять?
Коронки из керамики не портятся со временем и не теряют своих свойств. Качественно изготовленные керамические протезы плотно прилегают к зубу, а проникновение под коронку микроорганизмов невозможно.
С возрастом происходят изменения зубочелюстной системы: уменьшается высота кости и может оголяться часть корня. Необходимо тщательно следить за гигиеной зубов и полости рта для предотвращения развития кариеса корня и распространение его под коронку.
При соблюдении рекомендаций стоматолога и отсутствии общих серьезных заболеваний ( онкологические, аутоиммунные болезни) срок эксплуатации керамических коронок составляет 10-15 лет.
Какие осложнения могут быть после протезирования керамическими протезами?
При установке любых коронок, в том числе и керамических, у пациента может возникнуть ряд неприятных проявлений.
- Боль при накусывании на зуб с коронкой. Причины: коронка высокая и ее нужно подпилить по прикусу; воспаление нерва зуба или периодонтит зуба - может потребоваться снятие коронки и лечение / перелечивание корневых каналов.
- Боль в суставе. Завышена высота коронки.
- Кровоточивость десны. Нависает край коронки или есть остатки цемента - проводится полирование коронки и удаление цемента.
- Забивается еда между коронкой и зубом. Это говорит о неплотном контакте между зубом и коронкой. Уплотнить контакт можно коррекцией коронки или же в случае поражения зуба кариесом - пломбированием зуба и моделированием более плотного контакта.
- Повышенная чувствительность зуба с коронкой. Чаще всего проходит самостоятельно в течении 10-14 дней. Если же этого не происходит, а реакция на холодное / горячее только усиливается - необходима консультация лечащего доктора.
- Коронка потемнела или изменила цвет. Изменение цвета керамики невозможно, но так как такие коронки обладают высокой светопропускной способностью, то изменение цвета зуба под коронкой будет проявляться как потемнение коронки. Зуб может измениться в цвете при наличии хронического воспаления нерва, невылеченной кисты корня зуба, приеме некоторых медикаментов.
Подобные осложнения не несут угрозы здоровью и жизни пациента, но своевременный осмотр и диагностика у стоматолога помогут решить проблему быстро с минимальными финансовыми расходами.
Цены на протезирование зубов
срок выполнения работ от 3-х часов до 5 раб.дней
Изготовление цифрового оттиска одной челюсти
700 грн
Установка фрезерованной накладки, вкладки керамической CEREC/ Ivoclar за 1 визит
11 000 грн
Установка фрезерованной накладки, вкладки, коронки E.max за 1 визит, на зуб или имплант
14 000 грн
Установка коронки на зуб циркониевая или Е.МАХ (Германия)
12 500 грн
Установка коронки на имплант циркониевая или Е.МАХ (Германия), 2-5 дней
13 000 грн
Установка винира, люминира фрезерованного, Ivoclar
14 000 грн
Установка временной фрезерованной коронки длительного ношения на зуб (Telio, Ivoclar)
3 500 грн
Установка временной фрезерованной коронки длительного ношения на имплант (Telio, Ivoclar)
4 000 грн
Установка одной единицы (коронки, виниры, накладки, владки) при тотальном протезировании безметалловыми коронками E.Max (Германия) или с диоксида циркония (Германия) с индивидуализацией
16 000 грн
Установка опакового колпачка E.Max или из диоксида циркония (дополнительный функционал)
3 000 грн
Установка пластмассовой коронки 3D печать, примерочная (Mock up)
800 грн
Установка временной пластмассовой клинической коронки
1 200 грн
Протезирование "Все на 4/6"
(за 1 челюсть, без стоимости абатментов или мультиюнит абатментов )
Установка временной конструкции армированной фрезерованой балкой
40 000 грн
Установка постоянной конструкции полноанатомический циркон с индивидуализацией красителями
85 000 грн
Установка постоянной конструкции полноанатомический циркон с нанесением керамики
100 000 грн
Установка постоянной конструкции на фрезерованной титановой балке, полноанатомический циркон или с нанесением керамики, с уровня импланта или мультиюнит абатмента
140 000 грн
Установка постоянной конструкции на фрезерованной титановой балке, каркас облицовка композит, композитные зубы, с уровня импланта или мультиюнит абатмента
90 000 грн
Установка прототипа конструкции 3D печать, примерочный
3 000 грн
Съемные протезы
Установка частичного съемного акрилового протеза (на одну челюсть), Германия
13 000 грн
Установка полного съемного акрилового протеза (на одну челюсть), Германия
15 000 грн
Установка бюгельного протеза с кламерной фиксацией (на одну челюсть), Германия
16 500 грн
Установка ацеталового бюгельного протез (за одну челюсть)
16 500 грн
Установка нейлонового протеза Valplast (за одну челюсть)
15 500 грн
Коррекция съемной/ несъемной конструкции
350 грн
Добавление к съемному протезу 1-3 зубов/ кламмеров
1 700 грн
Перебазировка съемного протеза
2 200 грн
Ремонт съемного протеза при переломе акрилового базиса
1 800 грн
Коррекция прикусного воскового валика
700 грн
Применение индивидуальной оттискной ложки
1 000 грн
Проведение профессиональной чистки протеза
2 000 грн
Установка замок для фиксации съемного протеза к корню зуба ( за 1 замок в комплекте)
3 500 грн
Узнать стоимость установки керамических коронок, а также, определить необходимость и стоимость возможного дополнительного лечения (пломбирование корневых каналов, изготовление вкладки, снятия старой коронки, лечения кариеса) можно во время консультации непосредственно у нас в клинике iStomatolog.
FAQ
частые вопросы о керамических коронках

Автор статьи:
Дайнецкая Елена, главный врач Центра семейной стоматологии iStomatologНа консультации в стоматологии iStomatolog вы имеете возможность получить цифровую и видеодиагностику, детальный план, а также общую стоимость всех этапов лечения.
Специалисты по протезированию зубов

Дайнецкая Елена

Дышловая Ирина

Пекарский Виталий
Отзывы о стоматологии iStomatolog в Киеве
Що мене очікувало в центрі iStomatolog.
1. Відсутність очікування біля кабінету.
2. Відсутність зайвого. Персонал і лікарі тебе не обтяжують. Їх стільки, скільки має бути.
3. Без сумніву професіоналізм. Тебе вислухать, і обов'язково запропонують варіанти лікування. Що безцінно, це те, що тобі в першу чергу будуть пропонувати максимально зберегти свої зуби.
4. Відсутність бажання затягнути процес лікування на рік (якщо у тебе проблема не одного чи двох зубів). Головне, щоб дозволяли працювати ясна (їх стан).
5. Матеріали з якими працюють лікарі. Це виключно японський виробник.
І нарешті результат, який я навіть вже і не очікувала.
Лена, дякую тобі ВЕЛИЧЕЗНЕ за твою роботу. Тобі і твоїй команді.
Але тут працюють дуже відповідальні, приємні і турботливі професіонали! Дякую всій команді цієї стоматології, і окремо дякую моєму стоматологу Пекарському Віталію за прекрасну роботу. Тепер я і солодке їм без болі, і більше посміхаюсь ☺️
Я із задоволенням буду ходити тільки до вас 😊
Всі лікарі уважні, професійні, з щирою турботою про пацієнта. Запам'яталось, як мені років п'ять тому довго і терпляче спасали майже безнадійний зуб, зіпсований в іншій клініці — спасли, стоїть свій зуб, а міг би вже бути імплант.
Дуже рекомендую.
Блог

Одномоментная имплантация "под ключ" двух зубов
Клинический кейс №13 Пациент обратился с целью восстановления двух верхних зубов. Зубы в разрушенном состоянии уже больше нескольких лет. По...

Керамические виниры
Клинический кейс №11 Пациентка обратилась с целью восстановить один сломанный передний зуб на верхней челюсти и эстетически улучшить остальные передние...

Имплантация переднего зуба
Клинический кейс №12 Пациент обратился к нам для установки коронки на передний зуб. Зуб был ранее лечен. Около года пациент...

Керамическая накладка на зуб
Клинический кейс №10 Пациент обратился для установки коронки на "мертвый" зуб. После осмотра мы обнаружили, что большая часть зуба сохранена,...

Замена металлокерамических коронок
Клинический кейс №7 Жалобы пациента: неэстетический вид металлокерамических коронок, многочисленные сколы керамики, оголение и почернение корней зубов, неприятный запах из...

Протезирование верхних передних зубов за один визит
Клинический кейс №6 Жалобы пациента: некрасивая потемневшая реставрация передних зубов. Лечение: установка безметалловых коронок E.max за 1 день. Зубы были...

Зуб потемнел и раскололся
Клинический случай №1 Жалобы пациента: темный передний зуб, откол части зуба с внутренней стороны, воспаление десны над зубом. Лечение: установка...

Установка керамических коронок на четыре передних зуба
Клинический кейс №8 Жалобы пациента: некрасивые пломбы на передних зубах; не нравится форма зубов и их положение. Лечение: установка тонких...

Керамические коронки на передних зубах
Клинический случай №2 Жалобы пациента: раскол временной мостовидной конструкции из пластмассы. Лечение: изготовление четырех керамических коронок на передние зубы за...

Замена пломб керамической реставрацией
Клинический кейс №7 Жалобы пациента: сделать улыбку привлекательной, более светлые зубы. Лечение: замена объемных реставраций из фотополимерного материала на реставрации...

Имплантация при полном отсутствии зубов
Полная адентия, или полностью беззубая челюсть - безусловно тяжелая ситуация, но при современных достижениях медицины, и в частности стоматологии, не...

Преимущества системы CEREC для пациента
Преимущества системы CEREC для пациента В начале 2019 года в клиниках iStomatolog мы запустили в работу систему CEREC 3. Эта...
Запишитесь на консультацию или лечение
Предупреждение
Все материала сайта: статьи, фото-, видеоматериалы - имеют исключительно ознакомительный характер, не являются медицинским назначением и не могут быть использованы для самодиагностики и самолечения.
Консультация, обследование и лечение могут быть назначены и проведены только доктором соответствующей специализации.
Компания не несет ответственность за негативные последствия в результате использования данной информации.
Информация на сайте является собственностью компании ООО "Стоматологическая клиника "Айстоматолог" и защищена авторским правом.