Замена металлокерамических коронок
Клинический кейс №7
Жалобы пациента: неэстетический вид металлокерамических коронок, многочисленные сколы керамики, оголение и почернение корней зубов, неприятный запах из полости рта.
Лечение: замена металлокерамических коронок и мостов конструкциями из диоксида циркония; планирование дальнейшего восстановления утраченных зубов.

Фото до начала лечения. На зубах установлены металлокерамические мостовидные конструкции.
По КТ челюстей проверили качество лечения корневых каналов, наличие воспалений в челюсти и состояние корней.

Мостовидные конструкции изготовлены из многослойного диоксида циркония премиум качества – Prime от немецкого производителя Ivoclar.

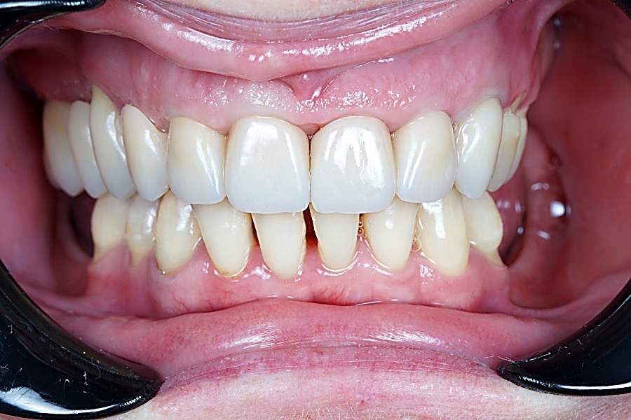
Циркониевые коронки установлены на зубах.
Заключение:
Пациенту установлено два мостовидных протеза на верхнюю челюсть. Коронки изготовлены из диоксида циркония. Сканирование, моделирование, фрезерование произведено непосредственно в клинике врачом. Перед протезированием мы перелечили корневые каналы четырех зубов и изготовили новые штифтовые вкладки.
Общее время работы: 4 дня.
Количество установленных коронок: 9 единиц.
Дата: 29,07.2022
